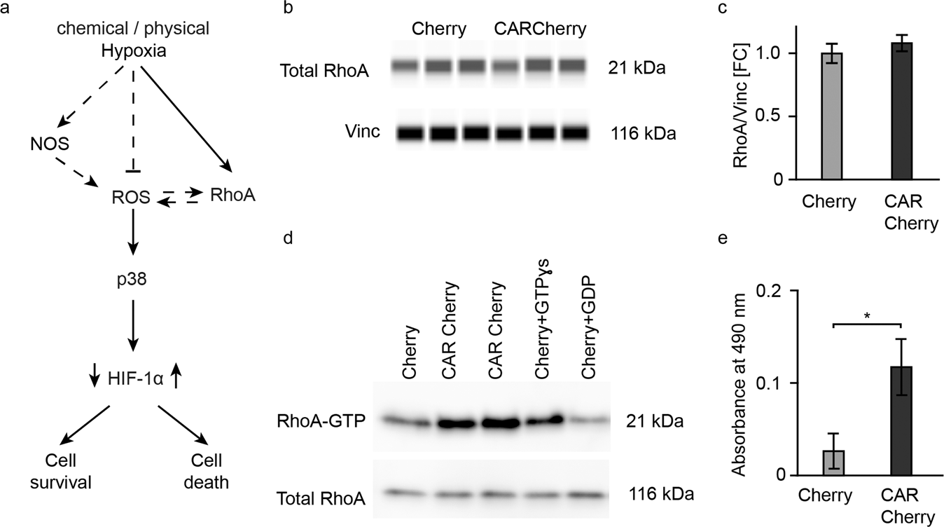
Fig. 1: Increased RhoA activation in cells overexpressing CAR.
From: CAR links hypoxia signaling to improved survival after myocardial infarction

a Schematic of the hypoxia-related signaling cascade influencing cell survival upon an ischemic event. b WES blot and c quantification of total RhoA in cells overexpressing Cherry vs. CAR Cherry. d Rhotekin pulldown assay: Representative western blot of the eluent from Cherry (Lane 1), CAR Cherry (Lanes 2-3), positive control (Lane 4), and negative control (Lane 5). e Independent quantification of active RhoA (G-LISA RhoA activation assay kit). Unpaired Student’s t test (n = 3) *p < 0.05.