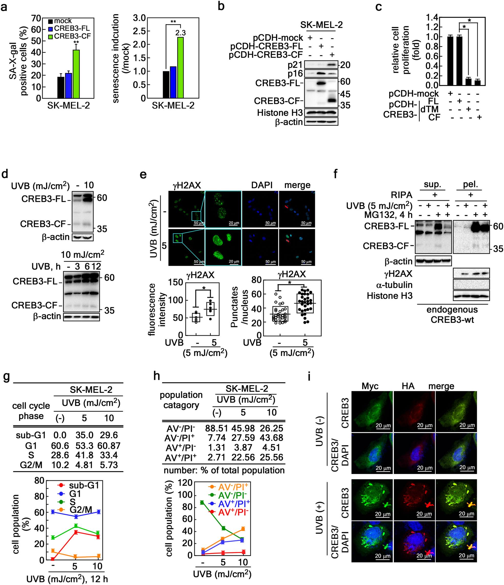
Fig. 7: CREB3-CF-triggered karyoptosis blocks cell proliferation via cellular senescence.
From: Dysregulated CREB3 cleavage at the nuclear membrane induces karyoptosis-mediated cell death

a Graphs showing cellular senescence induction by the expression of CREB3-FL or CREB3-CF. Left, percentage of β-gal-positive cells among more than 200 cells. Right, Fold increase in β-gal-positive cells among cancer cells. The cells stained with β-gal are shown in Supplementary Fig. 5a. b CREB3-CF induces p21 protein expression in SK-MEL-2 and HeLa cells. c Graphs showing that the expression of CREB3-CF or CREB3-dTM, but not CREB3-FL, suppresses the proliferation of SK-MEL-2 cells. The cells stained with crystal violet are shown in Supplementary Fig. 5b. d hat UVB increases CREB3-FL and CREB3-CF expression. e UVB induces DDR via the detection of nuclear puncta of γH2AX. f Illustration of the increase in nuclear DNA bound to endogenous CREB3-FL and -CF by UVB irradiation. g Cell cycle analysis data showed that the increase in UVB dose was not associated with sub-G1 enhancement. h Flow cytometry data showing that the early necrosis/necroptosis population is not associated with the late apoptosis/necrosis/necroptosis population. In contrast, UVB irradiation continuously decreased the live cell population in a dose-dependent manner. i Images of confocal microscopy images showing nuclear membrane ripping and rupture in CREB3-FL-overexpressing cells after UVB treatment.