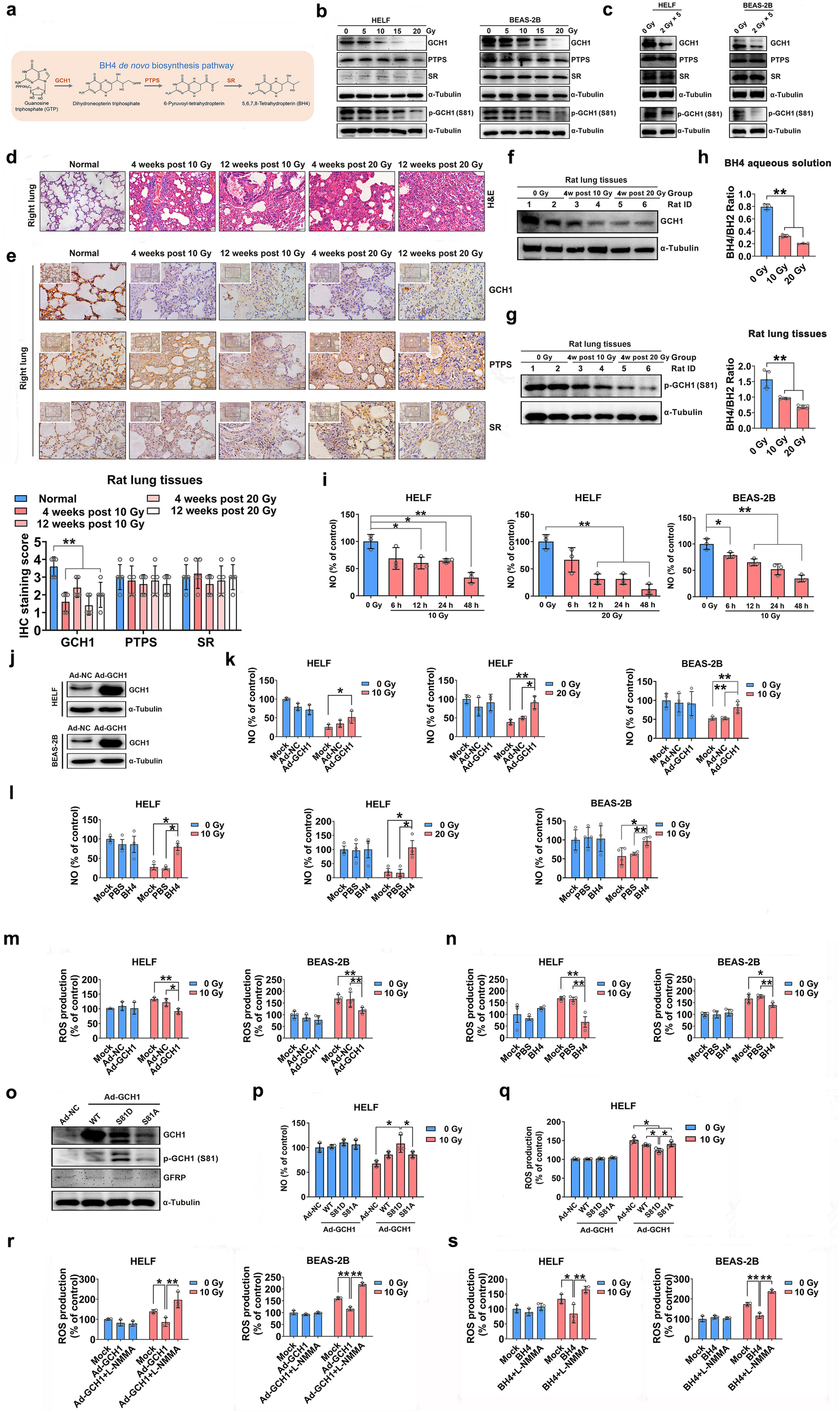
Fig. 1: BH4 metabolism attenuates radiation-induced ROS generation by reducing NOS uncoupling and restoring NO levels.

a Schematic illustration of the BH4 de novo biosynthesis pathway. b Western blot analysis of GCH1, PTPS and SR expression and GCH1 phosphorylation in HELF and BEAS-2B cells 24 h after the indicated doses of radiation. c Western blot analysis of GCH1, PTPS and SR expression and GCH1 phosphorylation in HELF and BEAS-2B cells exposed to radiation (10 Gy/5 fractions, 1 fraction/day). d Representative H&E staining of rat lungs. Scale bar = 100 μm. e Immunohistochemistry was used to measure GCH1, PTPS and SR levels in irradiated lung tissues. Scale bar = 50 μm. Quantitative analysis of GCH1-, PTPS- and SR-positive cells in rat lung tissues. f Western blot analysis of GCH1 protein levels in rat lung tissues. g GCH1 phosphorylation in rat lung tissues. h The BH4/BH2 ratio in BH4 aqueous solutions (1 μg/L) and rat lung tissues exposed to 0, 10, or 20 Gy of ionizing radiation. i NO concentrations at different time points after irradiation were measured using an NO-sensitive probe. j Western blot analysis of GCH1 expression in HELF and BEAS-2B cells. k HELF and BEAS-2B cells were infected with the control adenovirus or GCH1 adenovirus and then exposed to 10 Gy of X-ray irradiation. NO concentrations were measured using an NO-sensitive probe. l The cells were incubated with BH4 (12.5 μM for HELF cells and 25 μM for BEAS-2B cells) or PBS followed by exposure to 10 Gy of X-ray irradiation. NO concentrations were measured with an NO fluorescent probe. m and n ROS levels in HELF and BEAS-2B cells were determined using a fluorescence microscope and 96-well plate reader. o Western blot analysis of GCH1 and GFRP expression and GCH1 phosphorylation in HELF cells. HELF cells that were transfected with plasmids encoding WT GCH1 or its mutants. p NO concentrations were measured using an NO-sensitive probe. q ROS levels in HELF cells were determined using a 96-well plate reader. r HELF and BEAS-2B cells were incubated with the NOS inhibitor L-NMMA (200 μM for HELF cells and 100 μM for BEAS-2B cells) for 6 h and then infected with the GCH1 adenovirus followed by exposure to 10 Gy of X-ray irradiation. ROS levels in HELF and BEAS-2B cells were determined using a 96-well plate reader. s HELF and BEAS-2B cells were incubated with the NOS inhibitor L-NMMA for 6 h and then treated with BH4. ROS levels in HELF and BEAS-2B cells were measured using a 96-well plate reader. *P < 0.05 and **P < 0.01 compared with the control group.