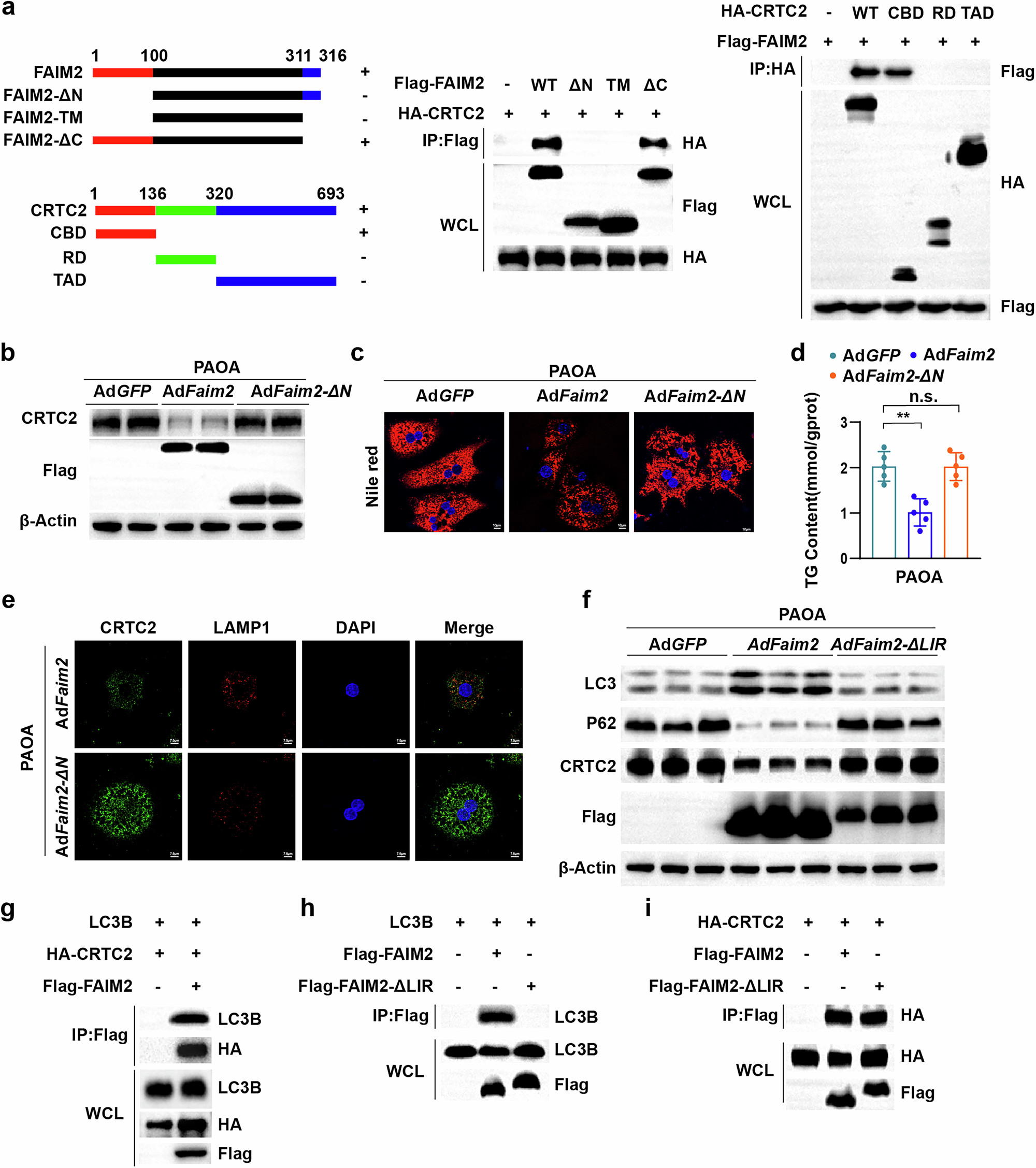
Fig. 8: The N-terminal domain of FAIM2 is required for CRTC2 degradation.

a Schematic illustration showing full-length and truncated FAIM2 and CRTC2 with Co-IP assays for mapping analyses of the domains responsible for the FAIM2–CRTC2 interaction. ΔN, missing N-terminal domain; TM, transmembrane domain; ΔC, missing C-terminal domain; CBD, CREB-binding domain; RD, regulation domain; TAD, transactivation domain. b Western blot images of CRTC2 in WT hepatocytes infected with AdGFP, AdFaim2 or AdFaim2-ΔN. c Nile red-stained images of hepatocytes from the indicated groups (n = 3). Scale bar, 10 µm. d Absolute TG content levels of the indicated groups (n = 5). e Confocal microscopy images of primary hepatocytes infected with AdFaim2 or AdFaim2-ΔN. Scale bar, 7.5 µm. f Western blot images of the indicated groups. g Immunoprecipitation and western blot analyses showing the binding relationships between LC3B, CRTC2 and FAIM2B in HEK293T cells transfected with plasmids encoding LC3B, HA-CRTC2, and Flag-FAIM2. h Immunoprecipitation and western blot analyses showing the binding relationships between FAIM2, FAIM2-ΔLIR and LC3B in HEK293T cells transfected with the indicated plasmids. i Immunoprecipitation and western blot analyses showing the binding relationships between CRTC2, FAIM2 and FAIM2-ΔLIR in HEK293T cells transfected with the indicated plasmid. **P < 0.01; n.s., not significant. The data are expressed as the means ± s.d. Statistical analysis was carried out via one-way ANOVA.