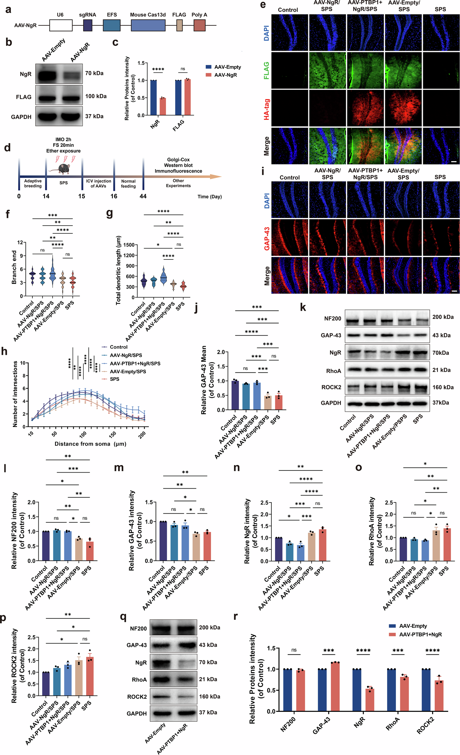
Fig. 7: NgR KD reverses dendrite abnormalities and axonal regeneration impairments induced by SPS and PTBP1 KD.

a The plasmid map of the AAV-NgR KD virus (AAV-CasRx-NgR-FLAG). b Utilization of western blot analysis to detect NgR and FLAG expression in the hippocampus of normal mice. c Quantitative analysis of western blot results for NgR and FLAG in the hippocampus of normal mice. d Experimental protocol for investigating the effect of combined KD of PTBP1 and NgR on axon regeneration in normal and PTSD mice. e Immunofluorescence detection of HA-tag (red) and FLAG tag (green) proteins. Scale bar, 100 µm. f The number of terminal branches on dendrites. g Total dendritic length. h Sholl analysis. i Immunofluorescence staining of GAP-43 (red) in the DG region of the hippocampus. Scale bar, 100 µm. j Statistical analysis of the average fluorescence intensity of GAP-43. k Western blot analysis of NF200, GAP-43, NgR, RhoA and ROCK2. l–p Quantitative analysis of western blot results for NF200 (l), GAP-43 (m), NgR (n), RhoA (o) and ROCK2 (p). q Western blot analysis of PTBP1 KD-induced changes in the NgR/RhoA/ROCK2 pathway and NF200/GAP-43 in normal mice. r Quantitative analysis of western blot results for the NgR/RhoA/ROCK2 pathway and NF200/GAP-43 in normal mice. Data are expressed as mean ± s.e.m. (f–h: n = 3, conducted a statistical analysis on 10–15 neurons per sample; c, j, l–p and r: n = 3), *P < 0.05, **P < 0.01, ***P < 0.001. ****P < 0.0001; ns, not significant.