Fig. 5
From: LncRNA Nron regulates osteoclastogenesis during orthodontic bone resorption

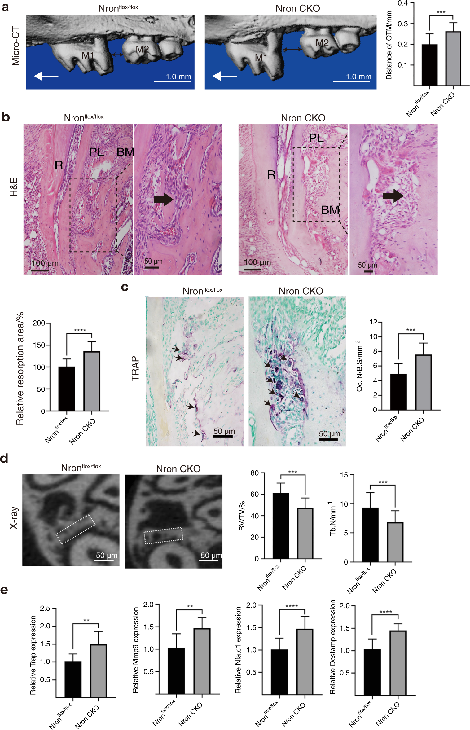
Accelerated orthodontic tooth movement rate in osteoclastic Nron knockout mice. a Three-dimensional reconstruction of the maxilla from 2-month-old Nronflox/flox and Nron CKO mice after 14 days of orthodontic tooth treatment and quantification of OTM distance. M1, first molar; M2, second molar; OTM, orthodontic tooth movement. The red one-way arrow indicates the direction of force; the red two-way arrow indicates the distance of OTM. b Representative H&E staining images of alveolar bone from 2-month-old Nronflox/flox and Nron CKO mice after 14 days of orthodontic tooth treatment and quantification of bone resorption. R, root; PL, periodontal ligament; MB, marginal bone. c Representative TRAP staining images of alveolar bone from 2-month-old Nronflox/flox and Nron CKO mice after 14 days of orthodontic tooth treatment and quantification of Oc.N/B.S. Oc.S/B.S., osteoclast surface per bone surface. d Representative X-ray images of alveolar bone of 2-month-old Nronflox/flox and Nron CKO mice after 14 days of orthodontic tooth treatment and quantification of BV/TV and Tb.N. BV/TV, bone volume per total volume; Tb.N., trabecular bone number. e RT-qPCR analysis of Trap, Mmp9, Nfatc1 and Dcstamp expression in alveolar bone from 2-month-old Nronflox/flox and Nron CKO mice after orthodontic tooth treatment. *P < 0.05, **P < 0.01, ***P < 0.001, ****P < 0.000 1. Data are presented as the mean ± SD; n = 6 per group