Fig. 10
From: Expert consensus on the clinical strategies for orthodontic treatment with clear aligners

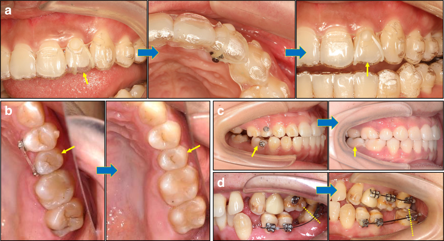
Strategies for resolution of tooth off-tracking. a A “boot-strapping” technique was used to address the off-tracking of a lateral incisor by applying labial-lingual elastic traction. b A power chain was used to correct under-derotation of a second premolar. c A vertical elastic traction from the upper premolar to the lower molar was implemented to correct mesial tipping and intrusion of the lower first molar. d A segmental archwire technique was applied to correct mesial tipping of a lower second molar