Fig. 5
From: Expert consensus on orthodontic treatment of patients with periodontal disease

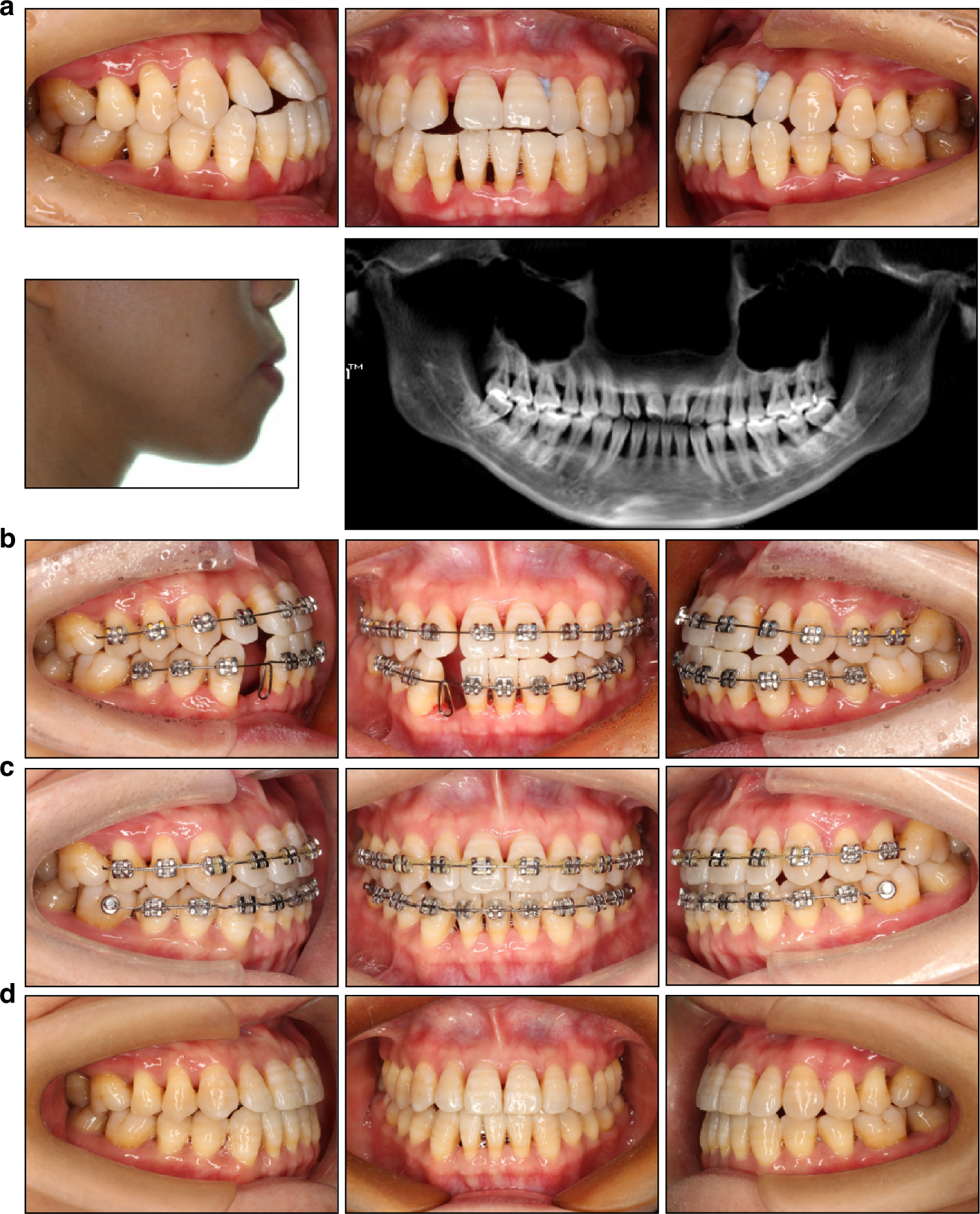
Treatment of a 34-year-old periodontally compromised female patient. a Pretreatment intraoral view, facial profile, and panoramic radiograph. The edge-to-edge bite, a full unit Class III molar relationship on the left side, and severe bone loss are evident. b The treatment goal is to eliminate occlusal trauma and improve occlusal contact, without excessively emphasizing on correcting the facial profile or molar relationships. Therefore, tooth 42, with the poorest periodontal condition, was selected for extraction. The first molars were strategically left unbonded to preserve their position and facilitate oral hygiene. c Lingual buttons were bonded on the mandibular first molars to close residual spaces. d Posttreatment intraoral view