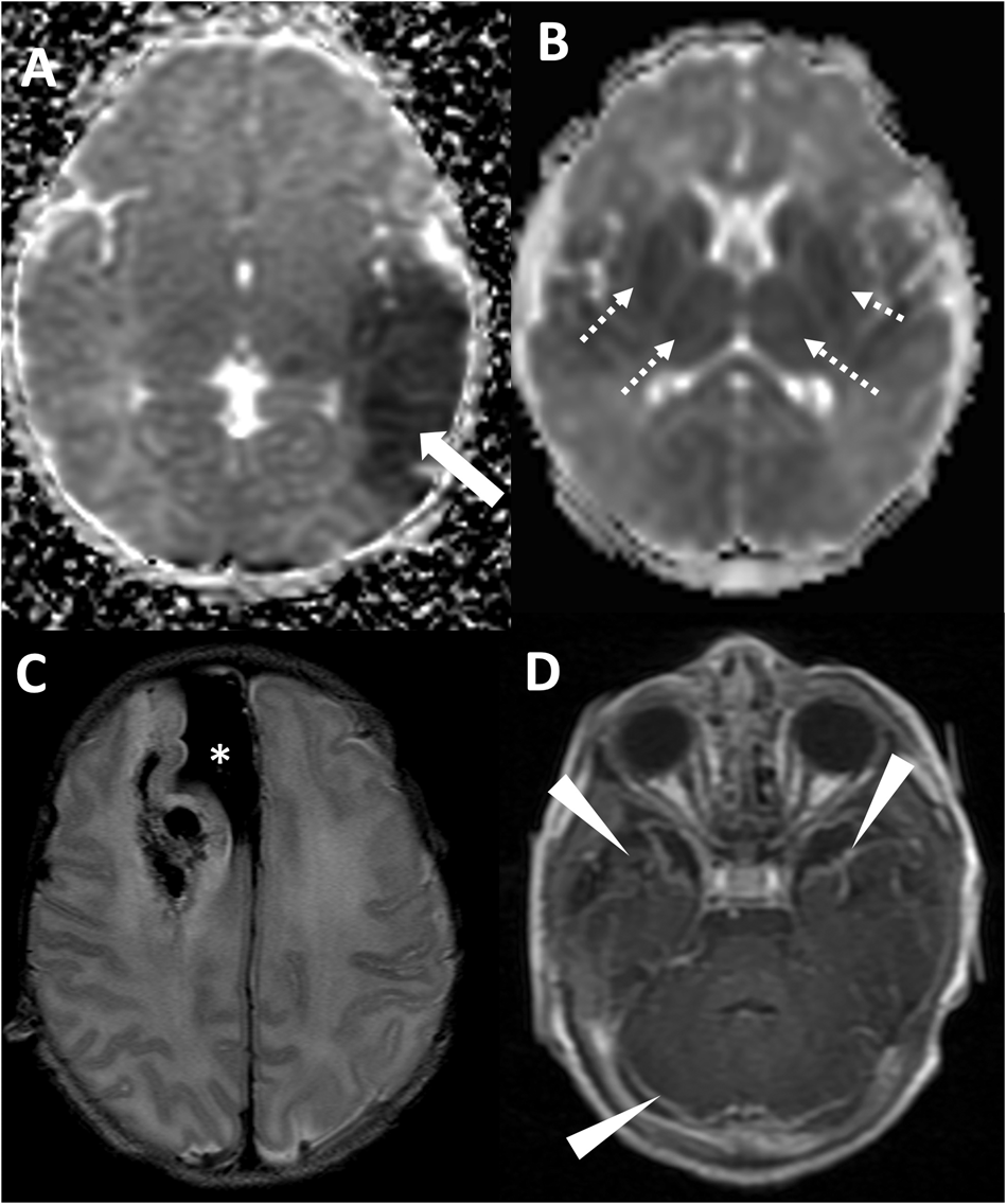
Fig. 3: Radiologic diagnoses in the cohort of patients with acute symptomatic seizures.
From: Neonatal brain MRI and short-term outcomes after acute provoked seizures

A Axial ADC map demonstrating arterial ischemic stroke in the left middle cerebral artery territory (white arrow). B Axial ADC map demonstrating reduced diffusion in the deep gray nuclei and subcortical white matter, compatible with hypoxic ischemic injury. C Axial T2 weighted imaging demonstrating large subpial hemorrhage in the medial right frontal lobe (asterisk) with associated hemorrhagic injury of the right frontal lobe. D Axial T1-weighted post-contrast imaging demonstrating leptomeningeal enhancement (arrowheads) in the setting of neonatal meningitis/intracranial infection.