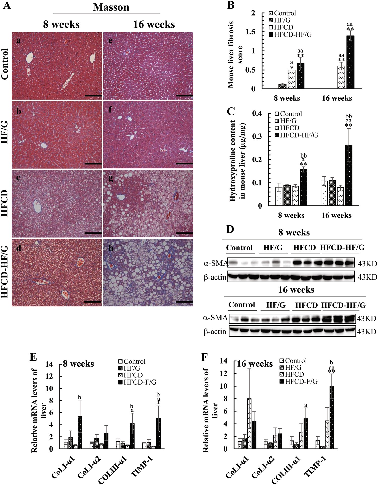
Fig. 6

Liver fibrosis and hepatic collagen deposition. A Representative micrographs of Masson Trichrome staining at 8 (a–d) and 16 weeks (e–h). Images were taken at original magnification (×200). Scale bars = 100 μm. B Semi-quantitative score of hepatic fibrosis at 8 and 16 weeks. C Liver hydroxyproline content (μg/mg) at 8 and 16 weeks. A–C n = 3 for 8 weeks and n = 5 for 16 weeks. D Western blot analysis of α-SMA protein levels at 8 and 16 weeks (n = 3). E, F mRNA levels of procollagen type-I (Col-Iα1, Col-Iα2), procollagen type-III (Col-IIIα1), and tissue inhibitor of metalloproteinase-1 (TIMP-1) in mice under different diet feeding for 8 (E) and 16 (F) weeks (n = 3). *p < 0.05 and **p < 0.01 compared to the controls. ap < 0.05 and aap < 0.01 compared to HF/G. bp < 0.05 and bbp < 0.01 compared to HFCD. α-SMA smooth muscle α-actin, Col-Iα1 procollagen type-Iα1, Col-Iα2 procollagen type-Iα2, Col-IIIα1 procollagen type-III α1, TIMP-1 tissue inhibitor of metalloproteinase-1