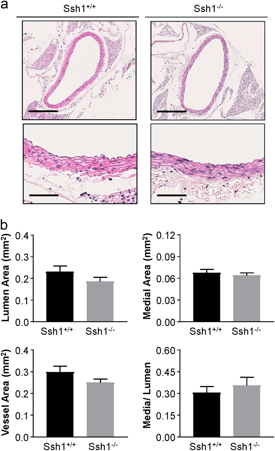
Fig. 2

SSH1 deficiency does not alter aortic structure. a The aortas of Ssh1+/+ and Ssh1−/− mice were excised, fixed, paraffin embedded, and stained with hematoxylin and eosin. Images were scanned using a ×40 objective (scale bar = 80 μm) as well as ×10 objective (scale bar = 295 μm) images are provided. b Lumen area, medial area, total vessel area and, media-to-lumen ratio were calculated after histological evaluation of aortas excised from Ssh1+/+ and Ssh1−/− mice