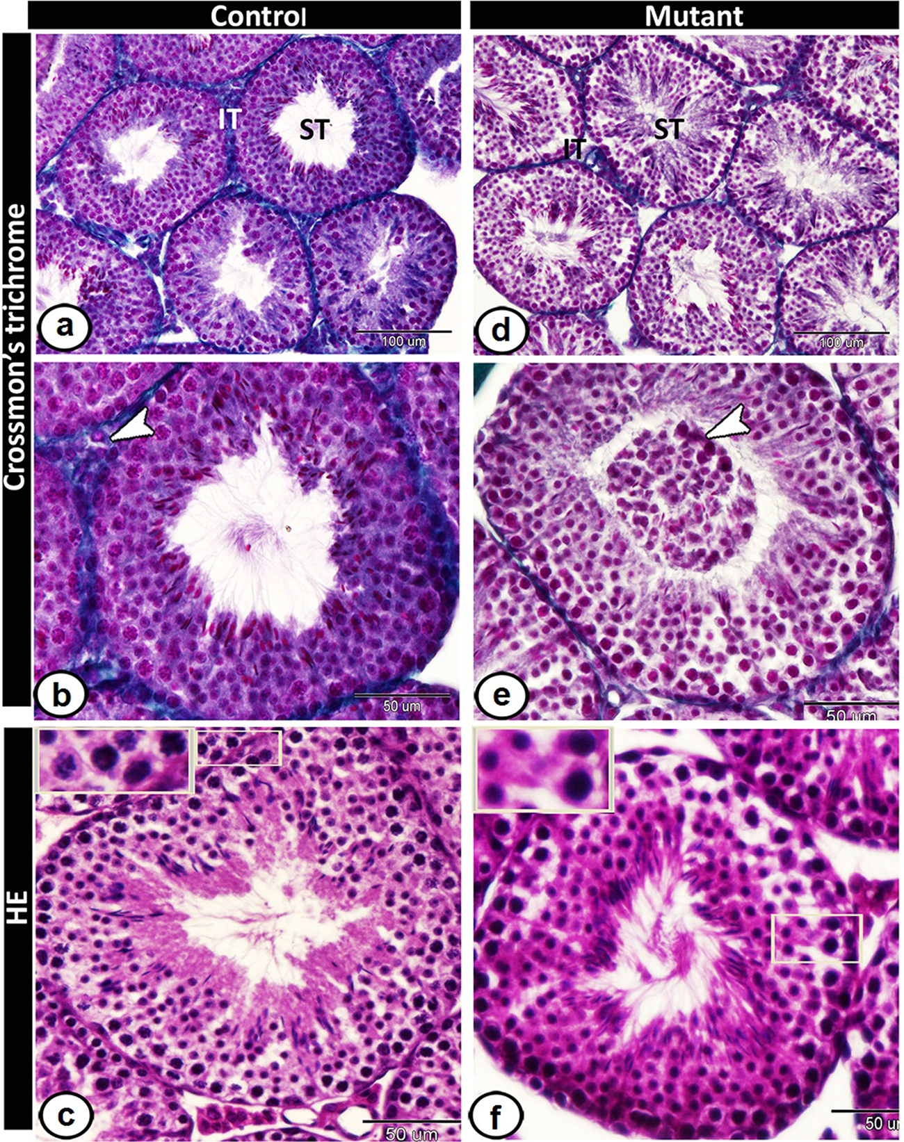
Fig. 1

Morphological structure of testis of control and mutant mice. a, b The interstitial tissue of WT mice (IT, arrowhead) was found between the seminiferous tubules (ST) and contained Leydig cells and blood vessels. c In WT, the seminiferous tubules showed normal spermatogenesis with a normal arrangement of cellular types (boxed areas). d Mutant mice show marked reduction in the amount of interstitial tissue (IT) and reduction in the diameter of seminiferous tubules (ST). e Accumulation of dead spermatocytes in the lumen of seminiferous tubules of the mutant group (arrowhead). f An evident loss of arrangement of spermatogenic cells in the mutant mice with presence of pyknotic nuclei (boxed areas)