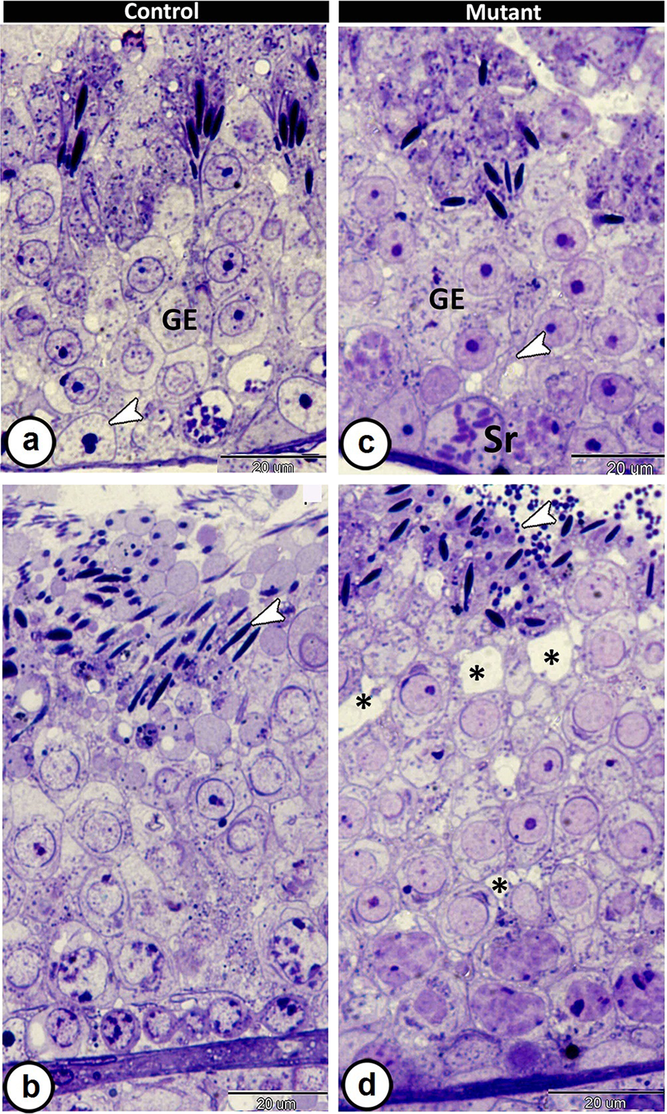
Fig. 2

Semithin sections of the wall of seminiferous tubules of control and mutant mice stained with toluidine blue. a In WT, the germinal epithelium (GE) is formed of 5–7 layers. Sertoli cells (arrowhead) contained oval nuclei with distinct deeply stained nucleoli. b Normal spermatogenesis with active released of developing spermatids (arrowhead) was shown in WT animals. c In mutant mice, the germinal epithelium (GE) is formed of 4–5 layers, the germ cells showed pyknosis, ill-distinct cellular borders. The Sertoli cell (Sr, arrowhead) is hypertrophied with a large nucleus contains rod-like chromatin. d Presence of vacuoles (asterisks) in the epithelium of seminiferous tubules of mutant mice and the Sertoli cells engulfed the spermatids heads (arrowhead)