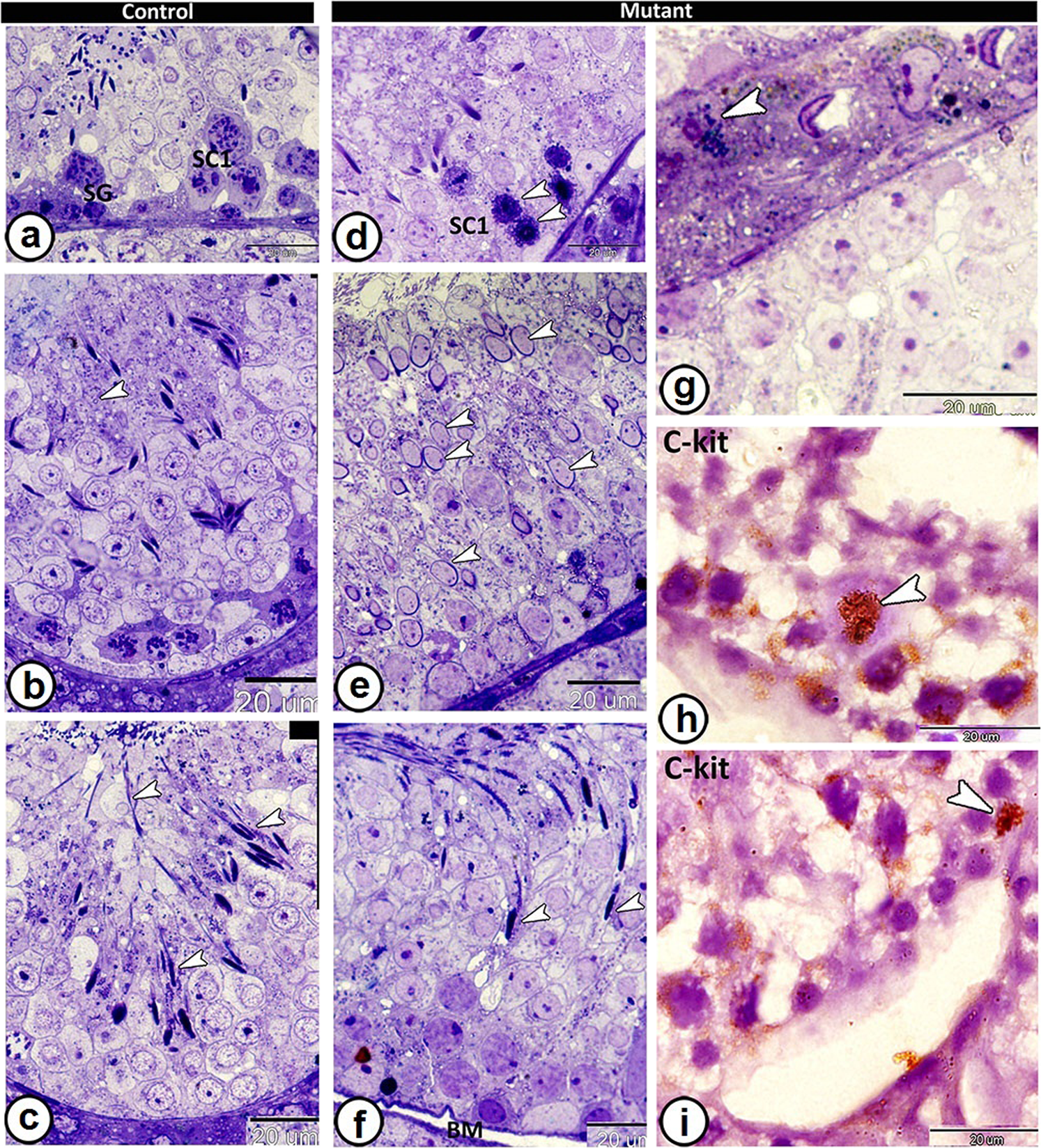
Fig. 3

Semithin sections of the epithelium of seminiferous tubules of control and mutant mice stained with toluidine blue and immunohistochemistry of c-kit. a WT mice show coarse chromatin particles in spermatogonia (SG). Meiotic figures can be seen in primary spermatocytes (SC1). b WT show spermatids detached from the apical borders of Sertoli cells, leaving residual lobes (arrowhead). c WT mice show mature sperms (arrowheads) release with their flagella into the lumen of seminiferous tubules. d The mutant mice were characterized by changes in germ cells appearance and presence of mast cells (arrowheads) localized near the basement membrane among the primary spermatocytes (SC1). e The mutant mice exhibited signs of delay spermiation in form of retention of numerous spermatids deeper in the epithelium (arrowheads). f The mutant mice show irregularities in the basement membrane (BM) of seminiferous tubules and changes in sperm morphology (arrowheads). g Mast cell (arrowhead) in the interstitial tissue of the mutant mice. h, i The mutant mice expressed positive c-kit mast cells (arrowheads)