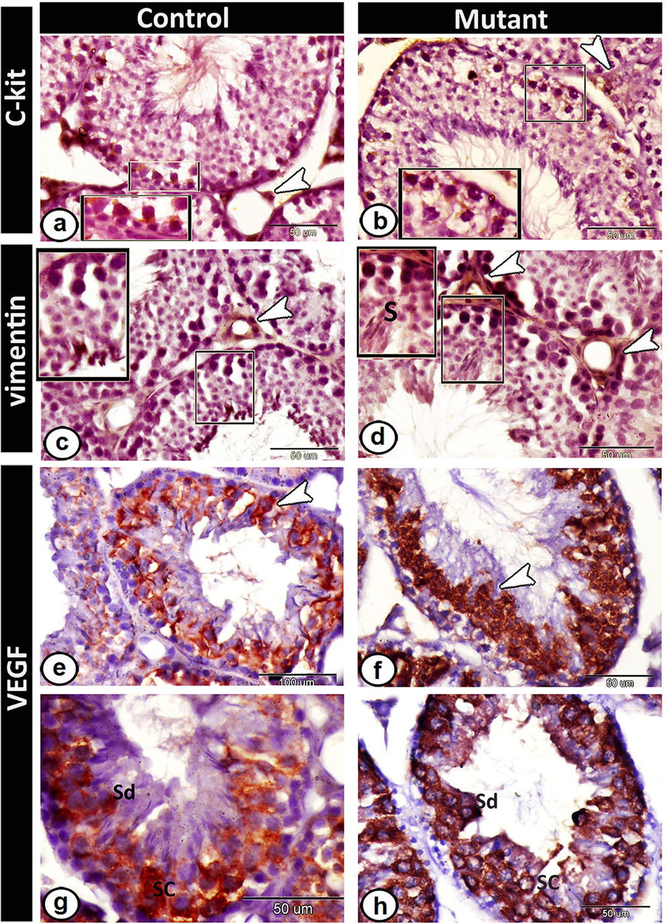
Fig. 6

Immunohistochemistry of the testis of control and mutant mice. a CD117 expression was strong in spermatogonia (boxed areas) and interstitial cells (arrowhead) in WT mice. b CD117 expression was limited to spermatogonia, and primary spermatocytes (boxed areas) and was weak in Leydig cells (arrowhead) of mutant mice. c WT mice show immunolocalized vimentin to the cytoplasm of spermatogonia, elongated spermatids (boxed areas), and Leydig cells (arrowhead). d In mutant mice, strong vimentin reaction was observed in the cytoplasm of spermatogonia, elongated spermatids (boxed areas), Leydig cells (arrowheads), and strong staining pattern was observed in Sertoli cells (S). e, g WT mice showed immunolocalized VEGF (arrowhead) in spermatocytes (SC), and round spermatid (Sd). f, h In mutant mice, overexpression of VEGF (arrowhead) in spermatocytes (SC), and round spermatid (Sd) was demonstrated