Modern pathology
Solid papillary mesothelial tumor
https://doi.org/10.1038/s41379-021-00899-3

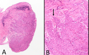
Churg et al. report nine examples of a previously undescribed type of peritoneal circumscribed nodular mesothelial tumor characterized by nests or sheets of mesothelial cells with sharp cell borders and extremely bland, sometimes grooved, nuclei. All the patients were women, age range 30 to 72 years (median 52). All tumors were incidental findings during surgery. The cases were referred in consultation, and the referring pathologists usually raised a question of mesothelioma. RNA sequencing revealed that these tumors clustered together and were distinct from peritoneal diffuse malignant mesotheliomas. Very few mutations or translocations were found, and no tumor showed an abnormality in any of the genes typically mutated/deleted in diffuse malignant mesothelioma. On follow-up (range 5–60 months, median 34) there were no deaths, no recurrences, and no evidence of metastatic disease or local spread. The authors propose the name “solid papillary mesothelial tumor” for these lesions. They appear to be either benign or very-low-grade tumors that need to be distinguished from malignant mesotheliomas.
p53 immunostaining in mesothelial proliferations
https://doi.org/10.1038/s41379-021-00920-9

p53 immunohistochemistry has long been proposed for the separation of benign from malignant mesothelial proliferations, with the older literature suggesting that any degree of positivity supported a diagnosis of mesothelioma. However, using modern immunohistochemistry platforms in other organ systems, notably gynecologic tumors, it has become clear that p53 staining can represent wild-type protein, and only specific staining patterns (absent, overexpression, or cytoplasmic) are indicative of a TP53 mutation. Using tissue microarrays, Naso and colleagues observed that 7/65 (11%) epithelioid mesotheliomas showed aberrant staining, as did 5/29 (17%) sarcomatoid mesotheliomas. They sequenced the TP53 gene in 8 aberrantly staining and 20 cases with wild-type staining and found that the aberrantly staining cases showed mutated TP53. By contrast, none of 20 mesotheliomas with wild-type staining contained mutated TP53. The authors conclude that absent or overexpression of p53 staining patterns can be used as a marker of a malignant vs. a benign mesothelial proliferation, but the sensitivity of p53 staining by itself is quite low.
Laboratory investigation
Bioglass promotes healing by inhibiting pryoptosis
https://doi.org/10.1038/s41374-021-00675-6

The mechanisms by which Bioglass (BG) promotes wound healing have yet to be determined, despite its increasing use in soft-tissue repair. Zhang et al. tested the hypothesis that BG supports wound healing by suppressing pryoptosis, a novel type of programmed cell death seen in various types of traumatic injury disease. BG was shown to accelerate wound closure, granulation formulation, collagen deposition, and angiogenesis. Western blot and immunofluorescence analysis showed that BG inhibited expression of pryoptosis-related proteins both in vivo and in vitro. Further exploration revealed that BG inhibited pryoptosis by regulating the connexin43 (Cx43)/ROS signaling pathway by decreasing expression of each. The mechanism is being explored further, but the current findings provide considerable context for the efficacy of BG in wound healing.
Viral detection in heart failure patients leads to opportunities for targeted therapeutics
https://doi.org/10.1038/s41374-021-00669-4

Hanson et al. sought to explore and catalog the incidences of cardiotropic viruses and their involvement in various types of heart failure. The group designed a custom tissue microarray from 78 patients with various conditions commonly associated with virus-related heart failure. They followed up with highly sensitive in situ hybridization to assess common cardiotropic viruses. Viral RNA was detected in 46% of patients, and fully half of these contained more than one virus. Contrary to previous reports, parvovirus B19 was detected in only 4% of the patients, with adenovirus 2 as the most prevalent in 28% of patients. The study revealed, for the first time, viral detection within a granulomatous lesion of a case diagnosed as cardiac sarcoidosis as well as giant cell myocarditis, conditions whose etiology has been unknown. The pathogenic and clinical importance of this viral detection requires further scrutiny.
nature.com/pathology
IL-1 blockade as targeted therapeutics in treatment-resistant IBD

Friedrich et al. explored the histopathological and cellular features of inflammatory bowel disease (IBD) in patient samples to ascertain why there are high proportions of patients for whom existing therapies are ineffective. They analyzed bulk and single-cell transcriptomes, quantitative histopathology, and in situ localization across three cohorts of IBD patients to identify co-expressed gene modules. One of the pathotypes they identified was defined by high neutrophil infiltration, activation of fibroblasts with neutrophil-chemoattractant IL-1R-dependent properties, and vascular remodeling at sites of deep ulceration. This pathotype was observed more frequently in the nonresponders to several therapies across four distinct cohorts of patients. The presence of M4/M5-signature-high patients before treatment in several prospective cohorts suggests that deep ulceration and high M4/M5 signature can occur independently of therapy failure. The data suggest the potential development of precision targeted therapeutics for IBD and a rationale for IL-1 signaling blockade in ulcerating IBD patients.
Nature Medicine 2021;27:1970–1981; https://doi.org/10.1038/s41591-021-01520-5
Analyzing the acquisition of somatic mutations in chronic liver disease

Exploring the acquisition of somatic mutations that take normal liver toward liver disease and on to hepatocellular carcinoma involved analyzing somatic mutations from 1590 genomes in liver samples. Ng and co-workers found that 7 of 29 patients with liver disease had single hotspot mutations in FOXO1, the major transcription factor in insulin signaling, affecting the nuclear export of FOXO1. Six of seven of these patients with FOXO1x22W hotspot mutations showed convergent evolution, with variants acquired independently by up to nine distinct clones per patient. The same convergent evolution with up to 14 independent clones per patient exhibited CIDEB mutations and up to seven clones per patient exhibiting GPAM mutations. Somatic mutations in these genes protect hepatocytes from lipotoxicity. The mutations were in multiple anatomical locations within the liver, increased clonal size, and were found in multiple iterations of liver disease but rarely hepatocellular carcinoma. Within the liver of one patient, the authors observed many independent hepatocyte clones preferentially expanding with mutations in the same metabolism gene. Such convergent evolution points to highly specific selective pressures. While larger studies are needed to explore this heterogeneity, the results suggest that genomic data could be used for predictions of future risk of cancer or liver failure in these patients.
Nature 2021;598:473–478; https://doi.org/10.1038/s41586-021-03974-6
Reviews written by Emma Judson and Andrew Churg.
For a Chinese version of Inside the USCAP Journals, see the supplementary material.
Supplementary information The online version contains supplementary material available at https://doi.org/10.1038/s41374-021-00000-0.
Additional information
Reviews written by Emma Judson and Andrew Churg.
Supplementary information
Rights and permissions
About this article
Cite this article
Inside the USCAP Journals. Lab Invest 102, 2–3 (2022). https://doi.org/10.1038/s41374-021-00712-4
Published:
Version of record:
Issue date:
DOI: https://doi.org/10.1038/s41374-021-00712-4