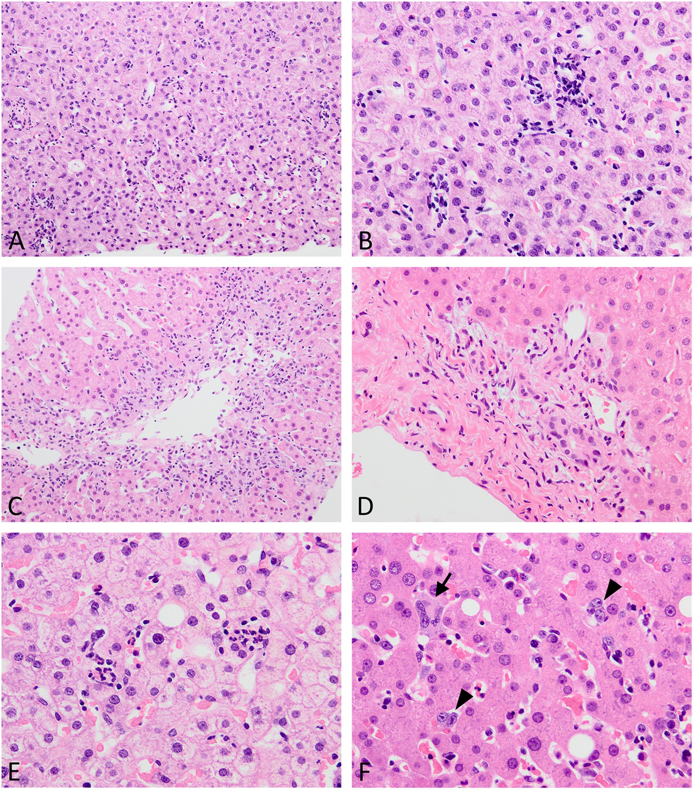
Fig. 1

Histologic features of checkpoint inhibitor-induced liver injury. The liver parenchyma is mainly damaged, with many foci of focal necrosis and acidophilic bodies being observed (a, b). One case each also showed centrilobular perivenular zonal cell loss (c, patient 5), ductular reaction with neutrophilic infiltration (d, patient 1), many foci of micro-abscesses (e, patient 3), and extramedullary hematopoiesis (f, patient 4). The arrow and arrowheads in image f indicate a megakaryocyte and other hematopoietic cells, respectively