Fig. 1

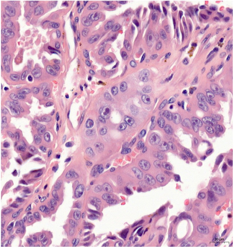
Hereditary leiomyomatosis and renal cell carcinoma tumor cells had a very prominent eosinophilic nucleus with a large nucleolus and perinucleolar halo at high magnification (hematoxylin and eosin)

Hereditary leiomyomatosis and renal cell carcinoma tumor cells had a very prominent eosinophilic nucleus with a large nucleolus and perinucleolar halo at high magnification (hematoxylin and eosin)