Fig. 1

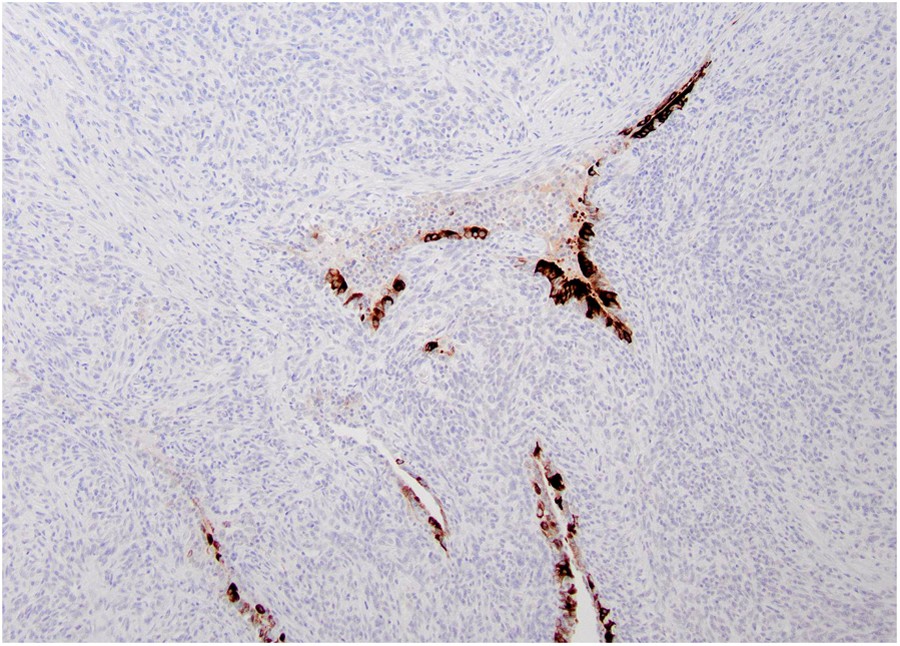
Sarcomatoid carcinoma of the lung showing intense staining of overrun bronchiolar epithelium (which serves as a positive internal control) but no staining of the sarcomatoid tumor

Sarcomatoid carcinoma of the lung showing intense staining of overrun bronchiolar epithelium (which serves as a positive internal control) but no staining of the sarcomatoid tumor