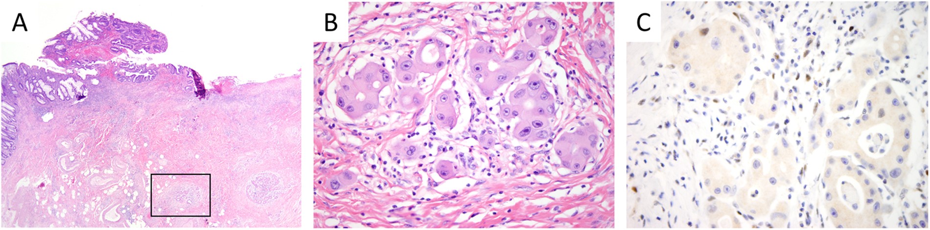
Fig. 1

This neoadjuvantly treated rectal adenocarcinoma consists of scattered clusters of tumor cells associated with extensive fibrosis (a, b). The MSH6 immunostain, originally interpreted as loss of staining compared with the internal control, shows nuclear staining in rare tumor cells (arrow) and this tumor is mismatch repair-proficient; decreased MSH6 staining is commonly seen in mismatch repair-proficient tumors following neoadjuvant therapy (c)