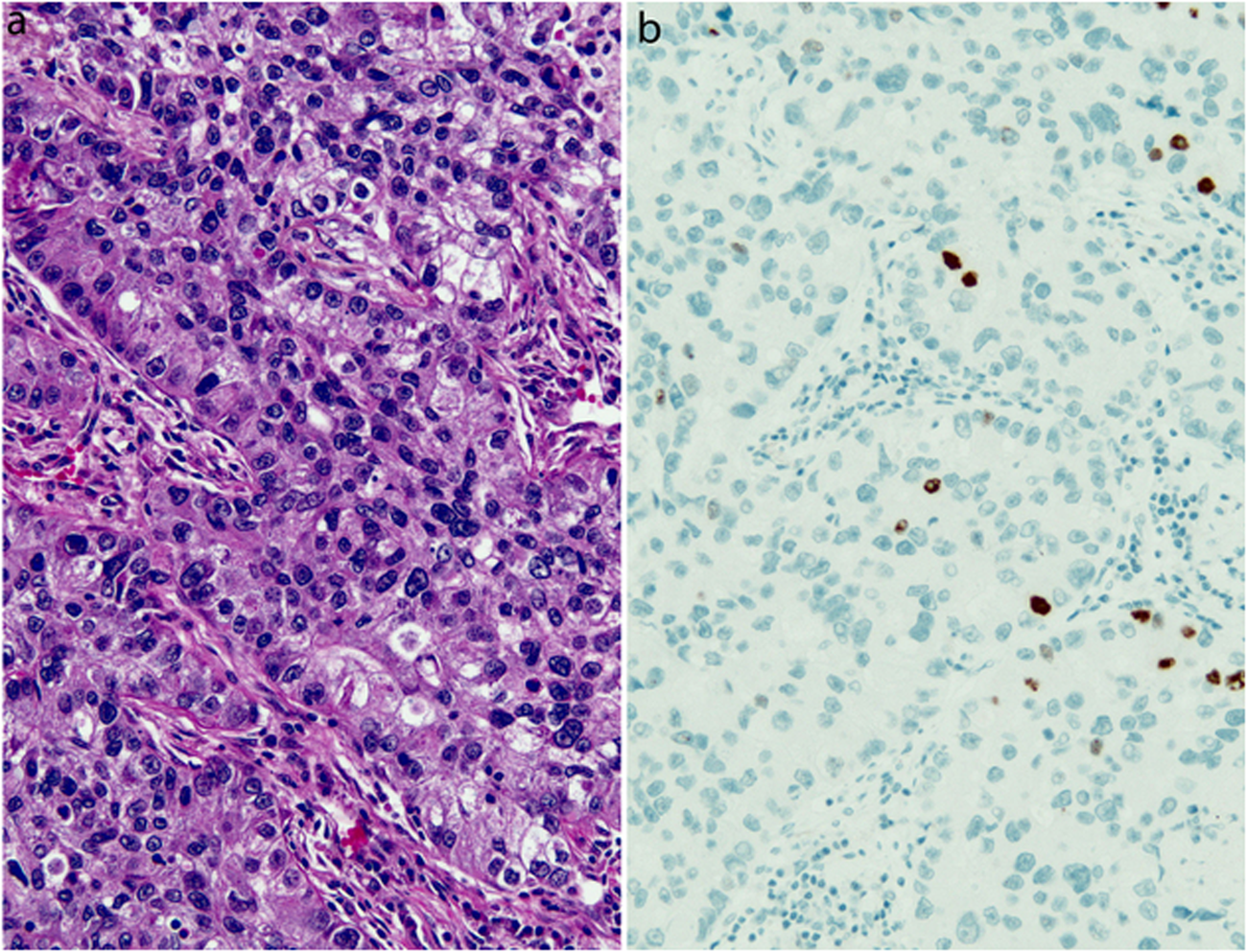
Fig. 3

INSM1 staining in a non-neuroendocrine neoplasm. a Adenocarcinoma, solid predominant (whole-tissue section of resected tumor, hematoxylin–eosin). The tumor was diffusely positive for TTF-1 and napsin A (not shown). b Focal strong INSM1 positivity. This was the only positive focus in the entire tumor. Both images are at original magnification ×200