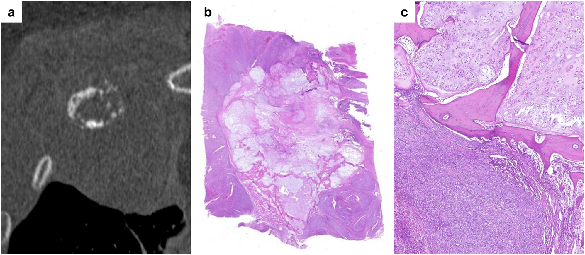
Fig. 1

H3K27me3-deficient dedifferentiated chondrosarcomas showed a classic biphasic pattern. Based on computed tomography (a), one tumor of the rib (case 4) expanded and destructed the cortex, with a large soft tissue component. Histologically, well-differentiated cartilaginous tumor involved the bone, which was surrounded by an extraosseous dedifferentiated component (b, H&E). The transition between the two elements was sharp (c, H&E)