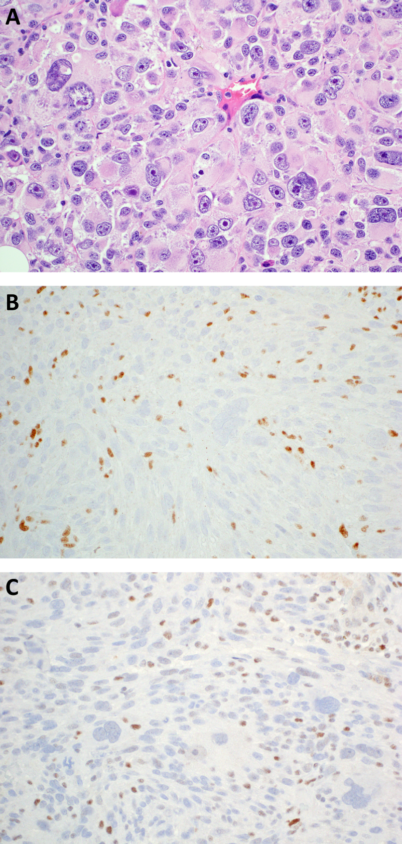
Fig. 3
From: Characteristics of mismatch repair deficiency in sarcomas

Malignant PEComa of the uterus composed of large pleomorphic atypical epithelioid cells with granular and eosinophilic cytoplasm (a). There was two copy deletion of MSH2, and loss of expression of both MSH2 (b) and MSH6 (c)