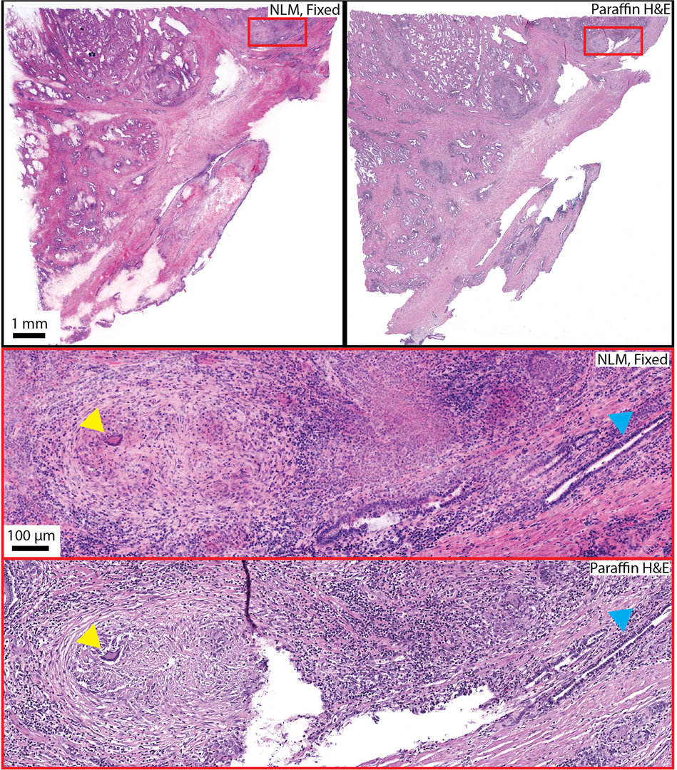
Fig. 4

A prostate specimen from a patient who underwent Bacillus Calmette−Guerin therapy. The characteristic histological patterns of this therapy are evident in nonlinear microscopy images of the fixed, unsectioned specimen and corresponding paraffin embedded H&E slide, including granulomatous inflammation (red) with giant cells (yellow arrow) and atrophic glands (blue arrow). (10x objective, 0.75 µm pixel)