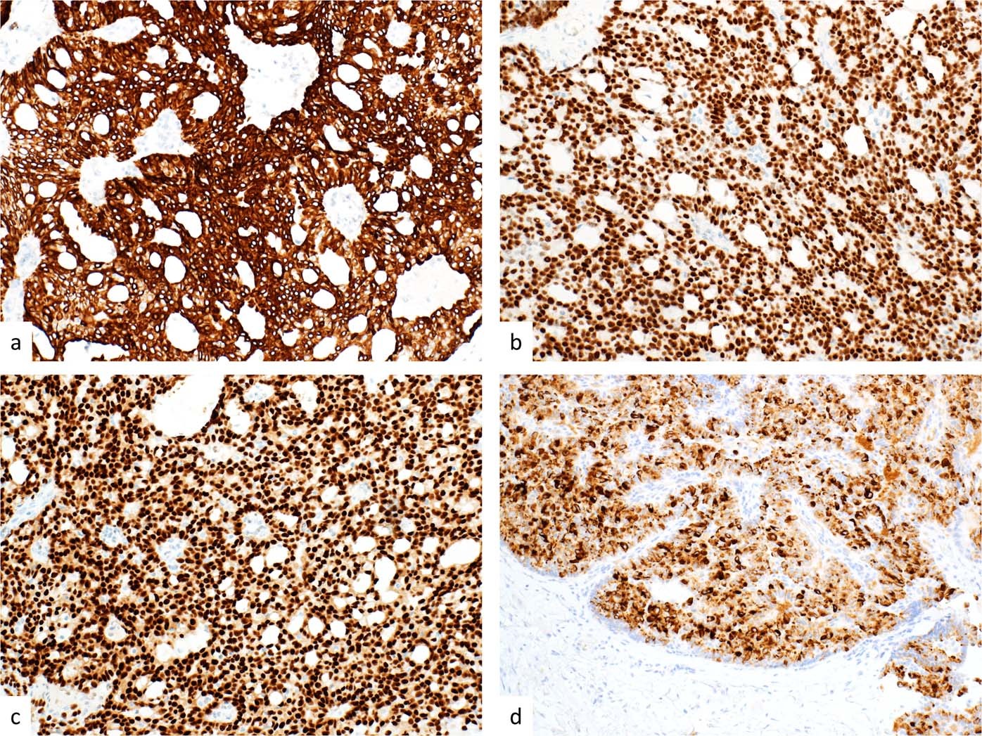
Fig. 3
From: Do not break a sweat: avoiding pitfalls in the diagnosis of sweat gland tumors

Endocrine mucin producing sweat gland carcinoma. By immunohistochemistry there is strong and diffuse staining for CK7 (a) and nuclear staining for GATA3 (b) and ER (c). There is expression of at least one neuroendocrine marker. Synaptophysin expression is shown in d