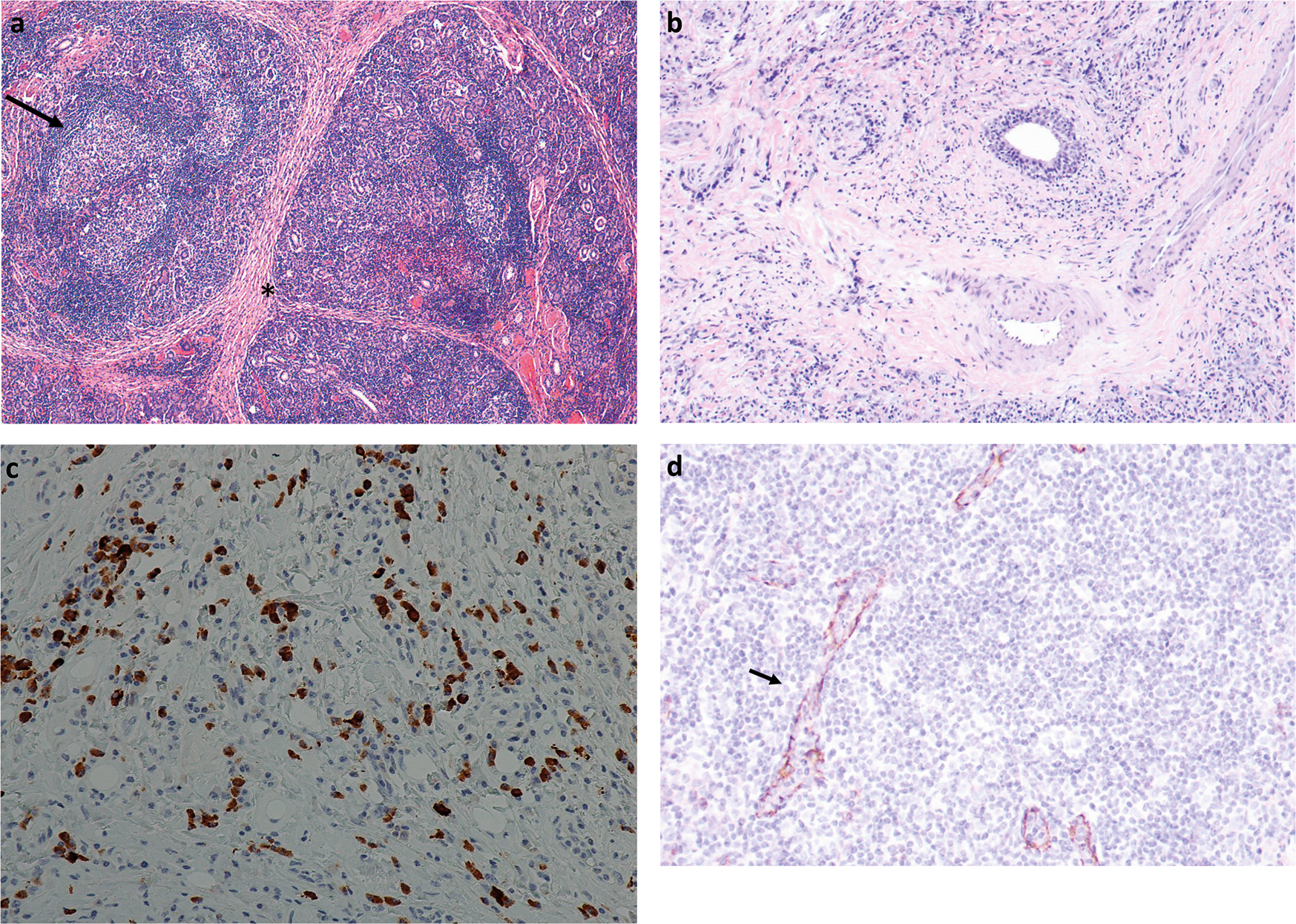
Fig. 2

Histological and immunohistochemical features of the tissue specimens from two patients with confirmed IgG4-related disease. a A dense lymphoplasmacytic infiltrate showing interlobular fibrosis (*) and irregular lymphoid follicles with germinal centers (arrow), hematoxylin, and eosin (H&E), 4×. b Storiform fibrosis and an infiltrate of lymphocytes and plasma cells appear throughout the glandular tissue, H&E, 10×. c Immunostaining for IgG4 showing abundant IgG4-positive plasma cells, 20×. d Immunostaining for CD31 showing inflammatory infiltrates obliterating the lumens of the small veins (arrow), 20×