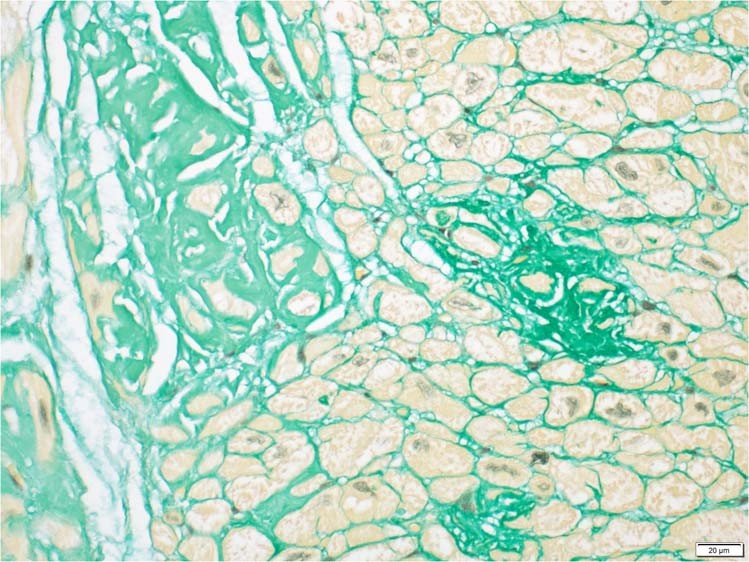
Fig. 6

Mixed nonfilamentous and filamentous amyloid deposition. The morphologic differences between the two forms of amyloid are readily seen in deposits that reside adjacent to one another. Differential microdissection showed the nonfilamentous amyloid (left) to type as ATTR and the filamentous amyloid (right) to type as AANF