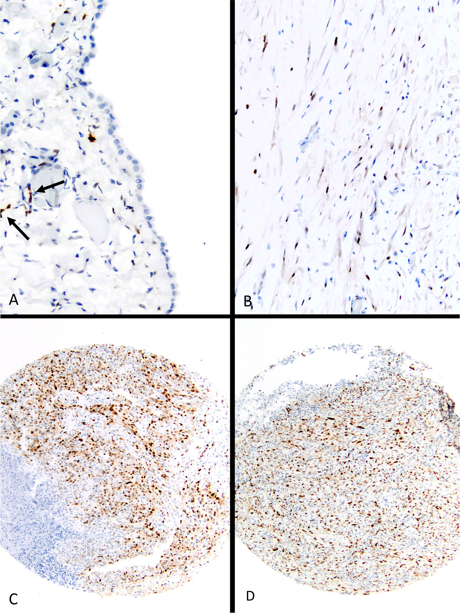
Fig. 3
From: Cyclin D1 immunohistochemical staining to separate benign from malignant mesothelial proliferations

a Cyclin D1 stain showing no staining in the reactive surface epithelial mesothelial cells and very rare staining of a spindle cell nucleus in the underlying reactive spindle mesothelial cells. Arrows points out vessels with endothelial staining. b Cyclin D1 stain of a reactive spindle cell mesothelial proliferation showing distinct nuclear staining in some of the spindle cells. c Cyclin D1 stain of an epithelial malignant mesothelioma showing nuclear staining in >75% of tumor cells. d Cyclin D1 stain of a sarcomatous malignant mesothelioma showing nuclear staining in >75% of tumor cells