Fig. 1: Gastric biopsy from stem cell transplant patient showing a maximum apoptotic count of 1 apoptotic body/10 contiguous pits (arrow).
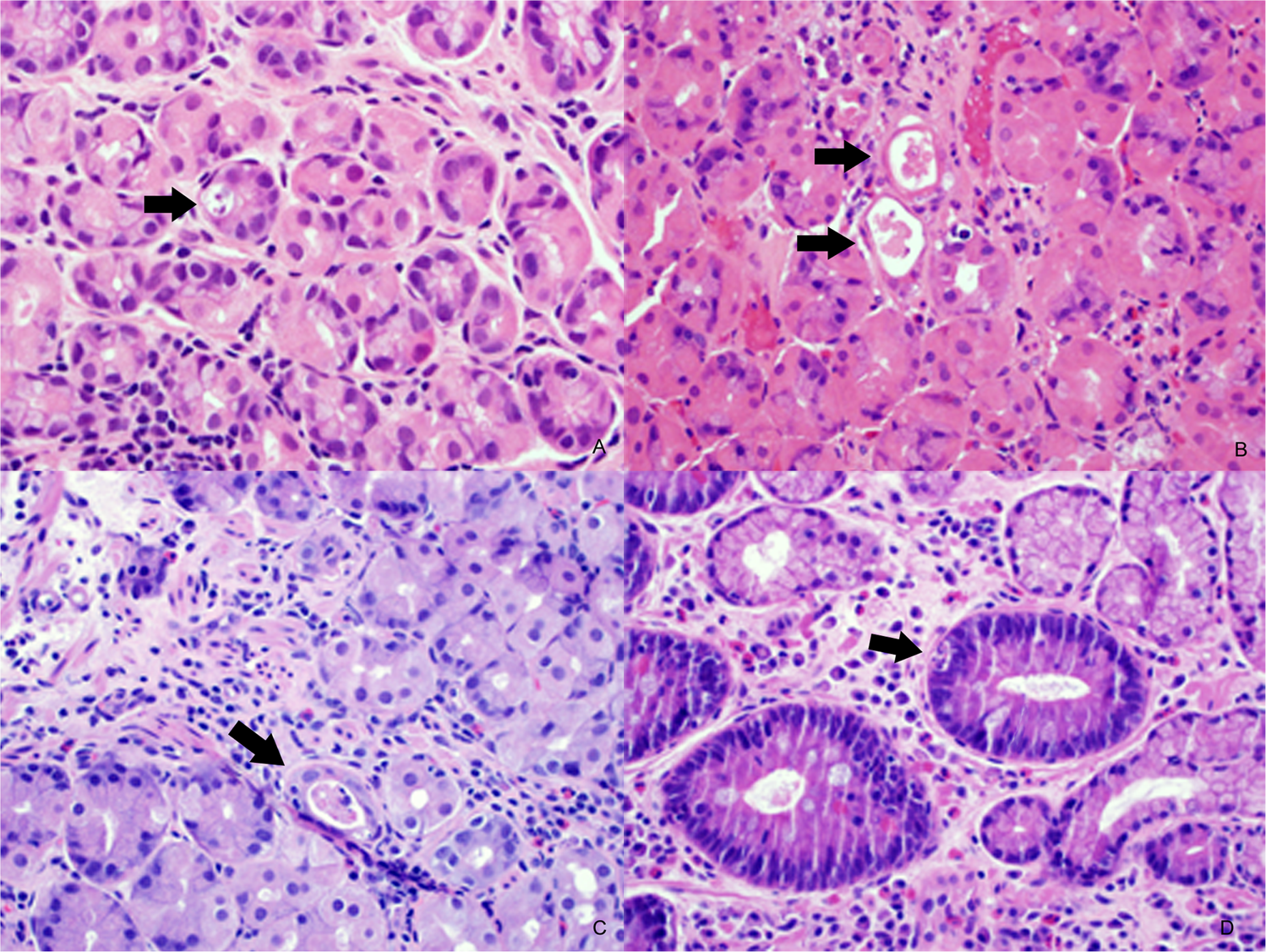
From: Evaluation of the lower histologic threshold for gastric graft versus host disease

This case was reclassified as indeterminate for graft versus host disease (a). Gastric biopsy from stem cell transplant patient with dilated withered pits containing eosinophilic luminal debris (arrows) consistent with gastric pit dropout (b). Control case showing a single gastric pit with luminal debris (arrow). The pit lacks the withered appearance noted in b (c). Control case with intestinal metaplasia showing gastric pit apoptosis (arrow) (d).