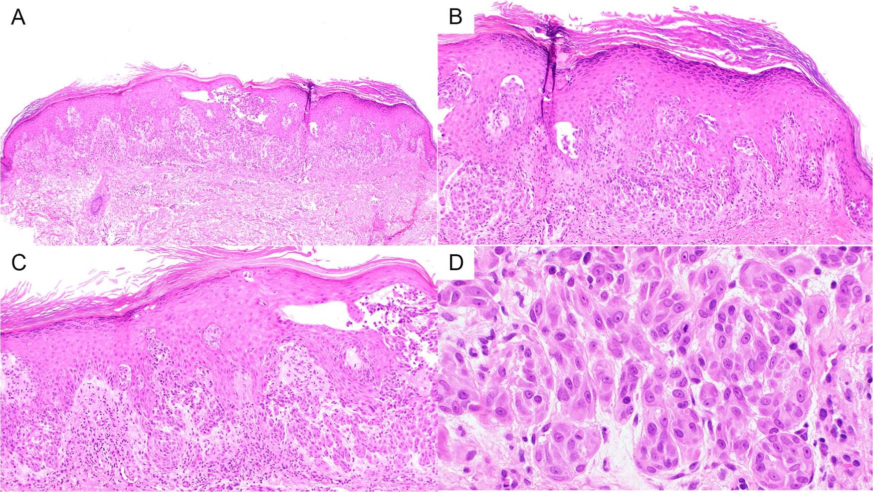
Fig. 2: Hematoxylin and Eosin staining on Case 2.
From: Clinical, morphologic, and genomic findings in ROS1 fusion Spitz neoplasms

a, b At 40× and 100×, respectively, a plaque-like Atypical Spitz Tumor with epidermal hyperplasia and back-to-back expansile nests. c At 200× one can appreciate some floating nests in the epidermis. d At 400× one can appreciate the relatively bland cytology of the Spitzoid melanocytes.