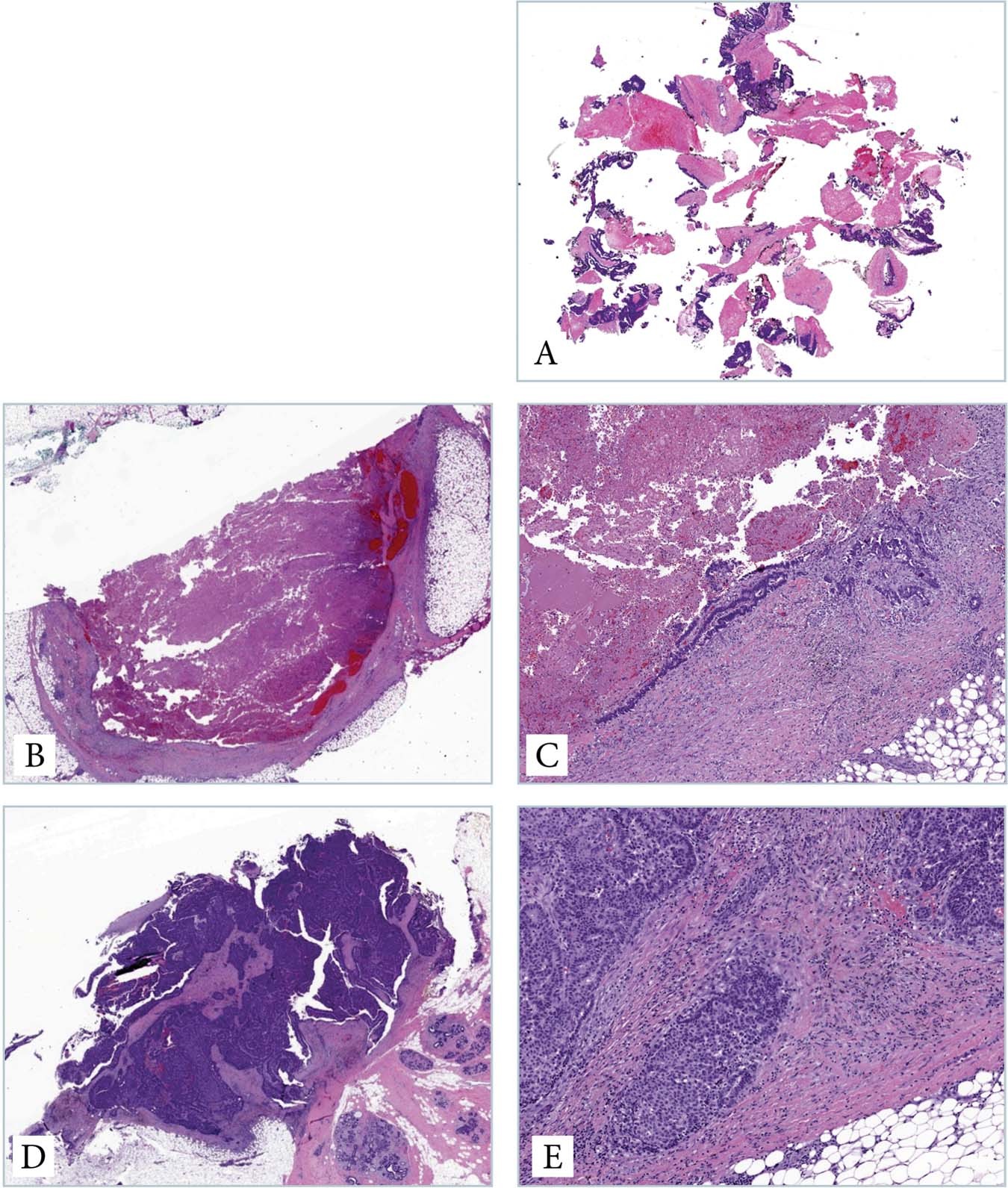
Fig. 6: Encapsulated papillary carcinoma with infarction.

Two separate cases are shown. A Core biopsy of a fragmented papillary tumor. The epithelium covers some of the fibrovascular cores and is also present as many small detached hyperchromatic clusters. Some of the fibrovascular cores were infarcted. This core biopsy had originally been interpreted as intraductal papilloma with infarction, but the fragmented nature of this sample and the hyperchromasia and fragmentation of the epithelial clusters are suspicious for a papillary carcinoma, which is how this case was reported later. Surgical excision yielded an encapsulated papillary carcinoma (not shown). B–E are images of metachronous tumors from the same patient. B Surgical excision of an infarcted papillary neoplasm. The necrotic tumor has a papillary architecture and is surrounded by a thick fibrous capsule. C A magnified view of the tumor in (B) shows focal viable atypical epithelium closely juxtaposed to the fibrous capsule and focally extending into it. The tumor in (B, C) was originally diagnosed as an infarcted papilloma, but the nuclear atypia and the arrangement of the epithelium are most consistent with an infarcted encapsulated papillary carcinoma. D, E Two years later, the patient developed a breast mass at the same site. The recurrent neoplasm resembles the prior tumor and has a thick fibrous capsule (D). The epithelial proliferation has low to intermediate grade nuclear atypia (E). These findings support the diagnosis of recurrent encapsulated papillary carcinoma. Focal invasive carcinoma was also present (not shown). Six years later the patient developed bone metastases.