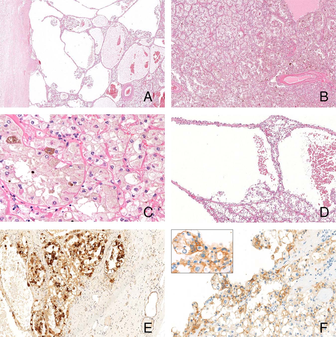
Fig. 3: NEAT1-TFEB rearranged renal cell carcinoma.

A solid and cystic tumor (A) in which the solid component was characterized by nests of clear to eosinophilic cells and melanin pigment easily found (B, C) and the cysts were lined by similar cells (D). Staining for Melan-A (E) and PDL1 SP263 (F) was diffuse.