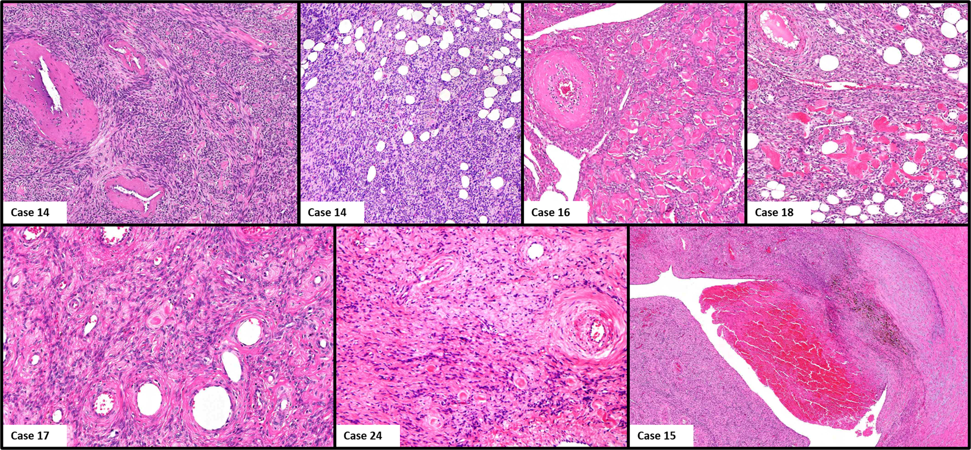
Fig. 1: Morphological characteristics of molecular group 3 IVL (Cases 14–18) and Case 24 (recurrence of Case 17).
From: Molecular and clinicopathologic characterization of intravenous leiomyomatosis

Note the hyaline plaques (Cases 14, 16, 18, and 24) and hyalinized vessels (Cases 14, 16, 17, and 24), adipose tissue (Cases 14 and 18), and large vessel with thrombosis, myxoid change and hemorrhage (Case 15). All these IVL are cellular except for Case 24, which is extensively hyalinized and cellularity is difficult to assess.