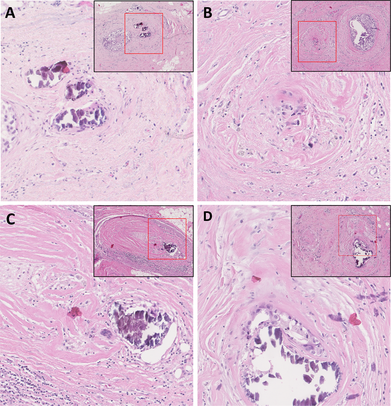
Fig. 2: Cases of regressive changes in DCIS.
From: Immune response and stromal changes in ductal carcinoma in situ of the breast are subtype dependent

Several cases of regression, depicting ‘normal’ DCIS (a, b) in combination with residual calcification (a, c, d) and/or scare-like structures (b, d). Images are depicted at a 15× magnification, and overview images are depicted as inserts at a 5× magnification. Red boxes indicate zoomed in areas.