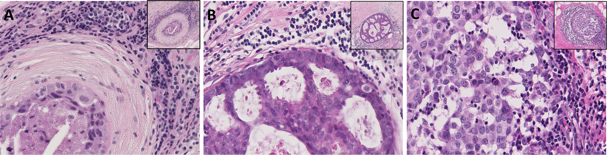
Fig. 3: Representative images of DCIS-associated TILs position.
From: Immune response and stromal changes in ductal carcinoma in situ of the breast are subtype dependent

Representative images of periductal a, touching b, and intraductal c DCIS-associated TILs.