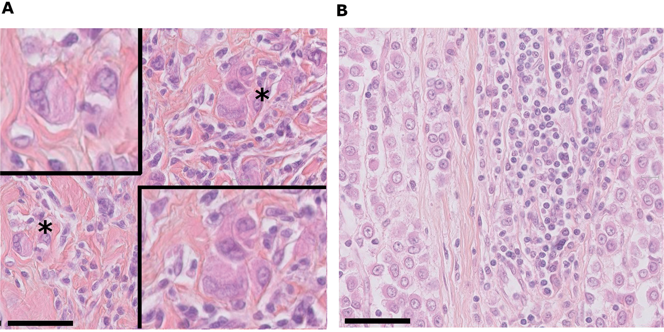
Fig. 2: Nuclear features associated with ILC.

Hematoxylin–eosin (H&E) image representative of one TILs > 5% ILC with multinucleation (black stars indicating magnified regions with binucleated cells, in this example) (a) and one TILs > 5% ILC showing prominent nucleoli (b). Scale bar = 50 µm.