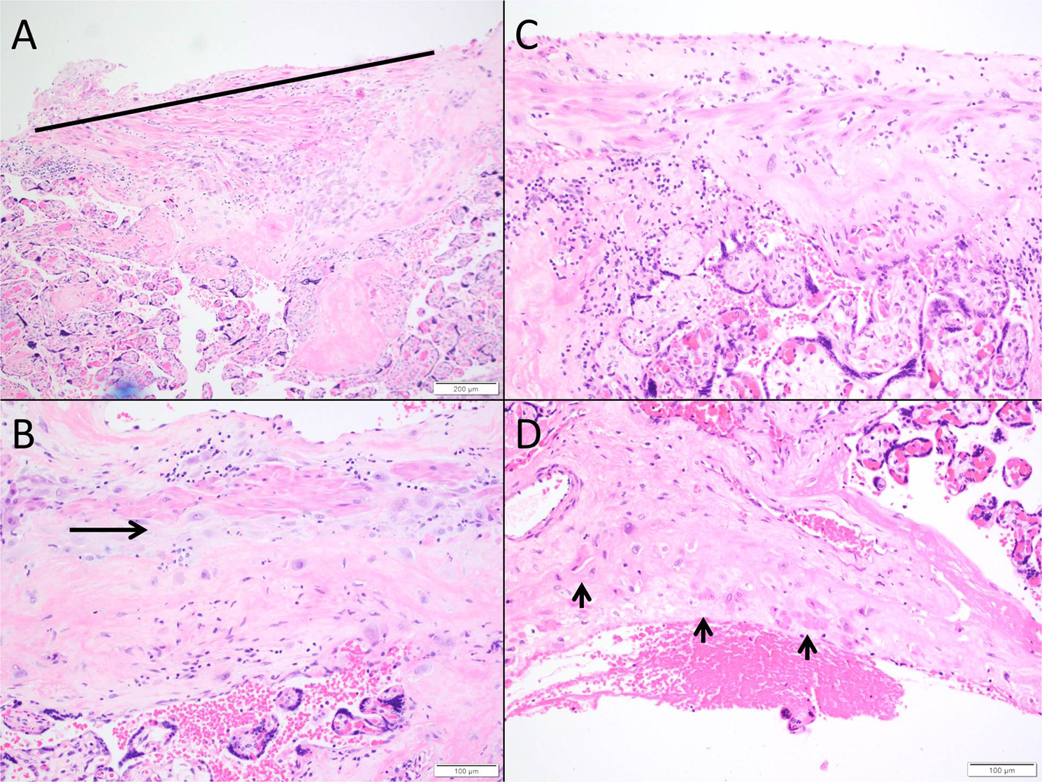
Fig. 13: Basal plate with adherent myometrial fibers.

The number of foci and size of the largest focus should be measured along the maternal surface (a). A stage should be assigned based on the presence or absence of decidua. b A layer of decidual cells (arrow) and extravillous trophoblast cells are still present between the chorionic villi and the adherent myometrial fibers (stage 1). In c, that layer is lost (stage 2). Panel d illustrates BPMF that are shriveled and degenerated (arrows). These may require actin staining for verification.