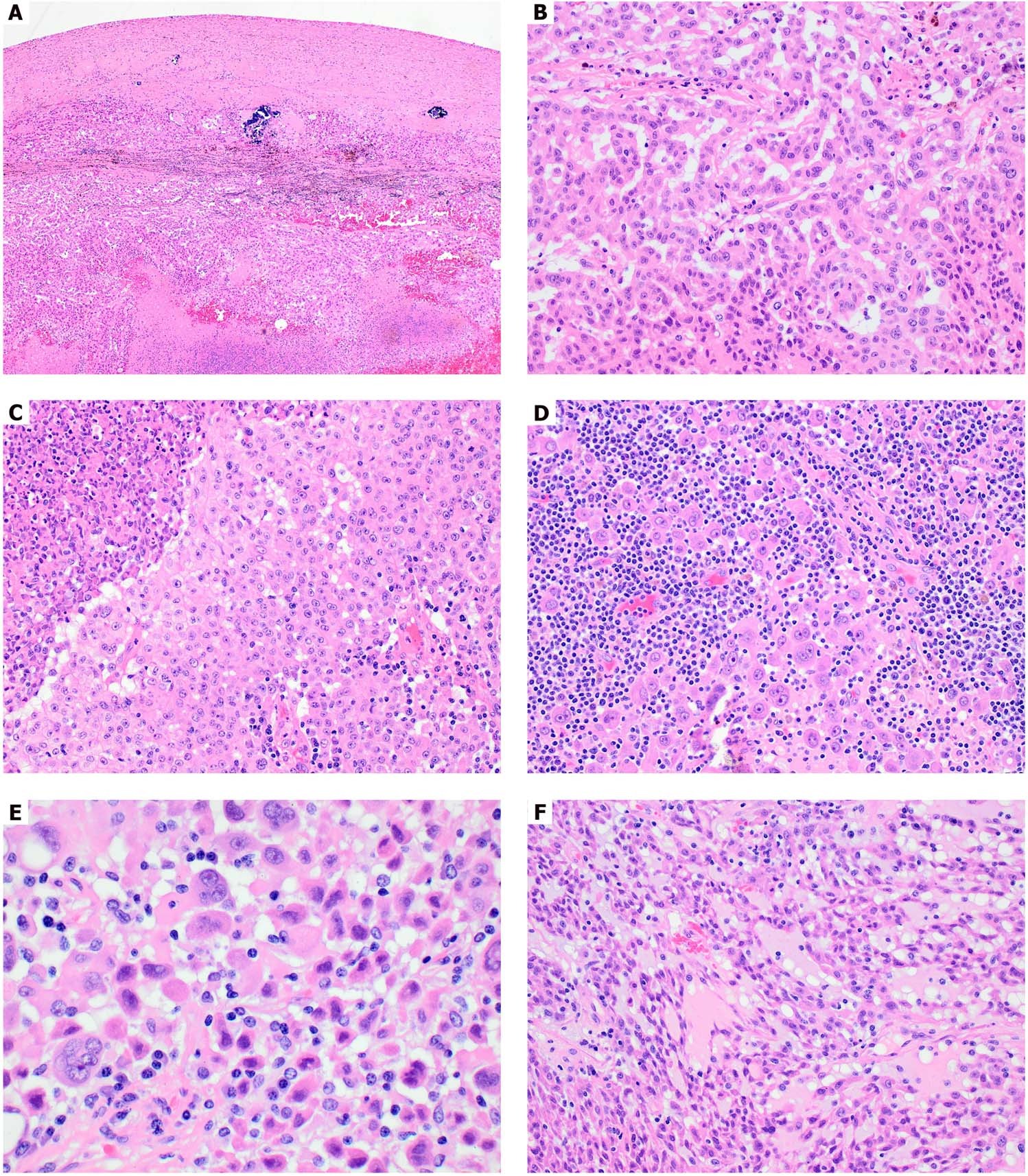
Fig. 3: ALK-RCC demonstrated heterogeneous morphology (case #9).

a Low power demonstrated a circumscribed tumor. Scattered psammoma bodies were present (top), as well as extensive areas of coagulative necrosis (bottom) (×100). b At higher power, the neoplastic cells focally exhibited irregular tubular, trabecular, and cord-like growth (×200). c Other neoplastic areas demonstrated solid sheath growth, shown here next to an area of coagulative necrosis (upper left) (×200). d In other areas, there were individual epithelioid and rhabdoid cells set in a background of mononuclear inflammation (×200). e The neoplastic cells showed focal nuclear atypia and multinucleation (×400). f In contrast, a very small neoplastic area showed low-grade morphology, resembling “mucinous tubular and spindle cell RCC” (×200).