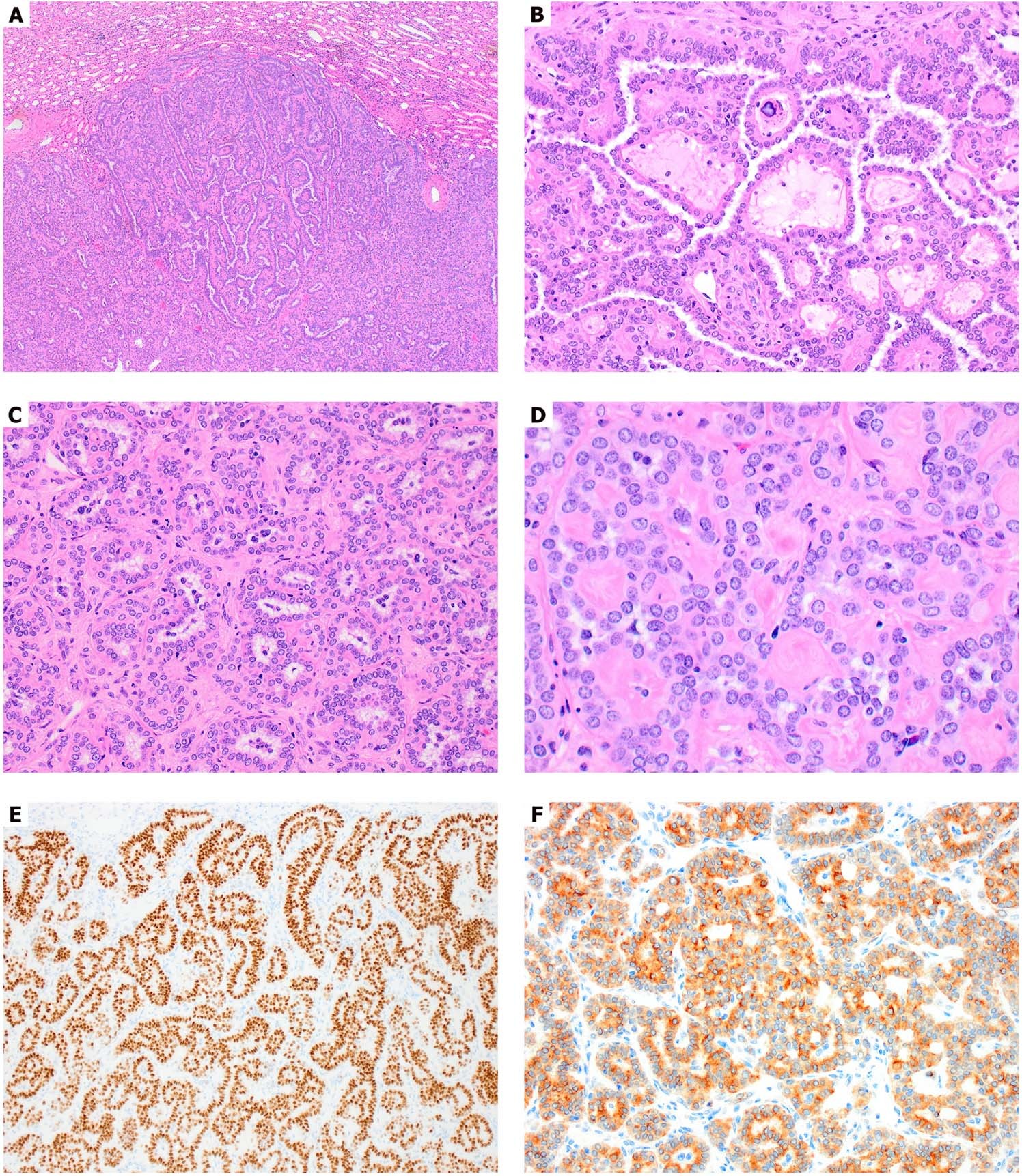
Fig. 4: ALK-RCC demonstrated heterogeneous morphology (case #10).

a At low power, a circumscribed, but non-encapsulated tumor was seen, showing tubular and papillary/trabecular growth (center) (×100). b Areas of papillary growth are shown at higher power (×200). c Most of the tumor was composed of small tubules and acini (×200). d Focally, the tubules showed eosinophilic luminal content resembling thyroid follicles (×400). e The neoplastic cells were diffusely and strongly immunoreactive for TTF1 (thyroglobulin was negative, not shown) (×200). f ALK immunostaining was also positive in the neoplastic cells (×200).