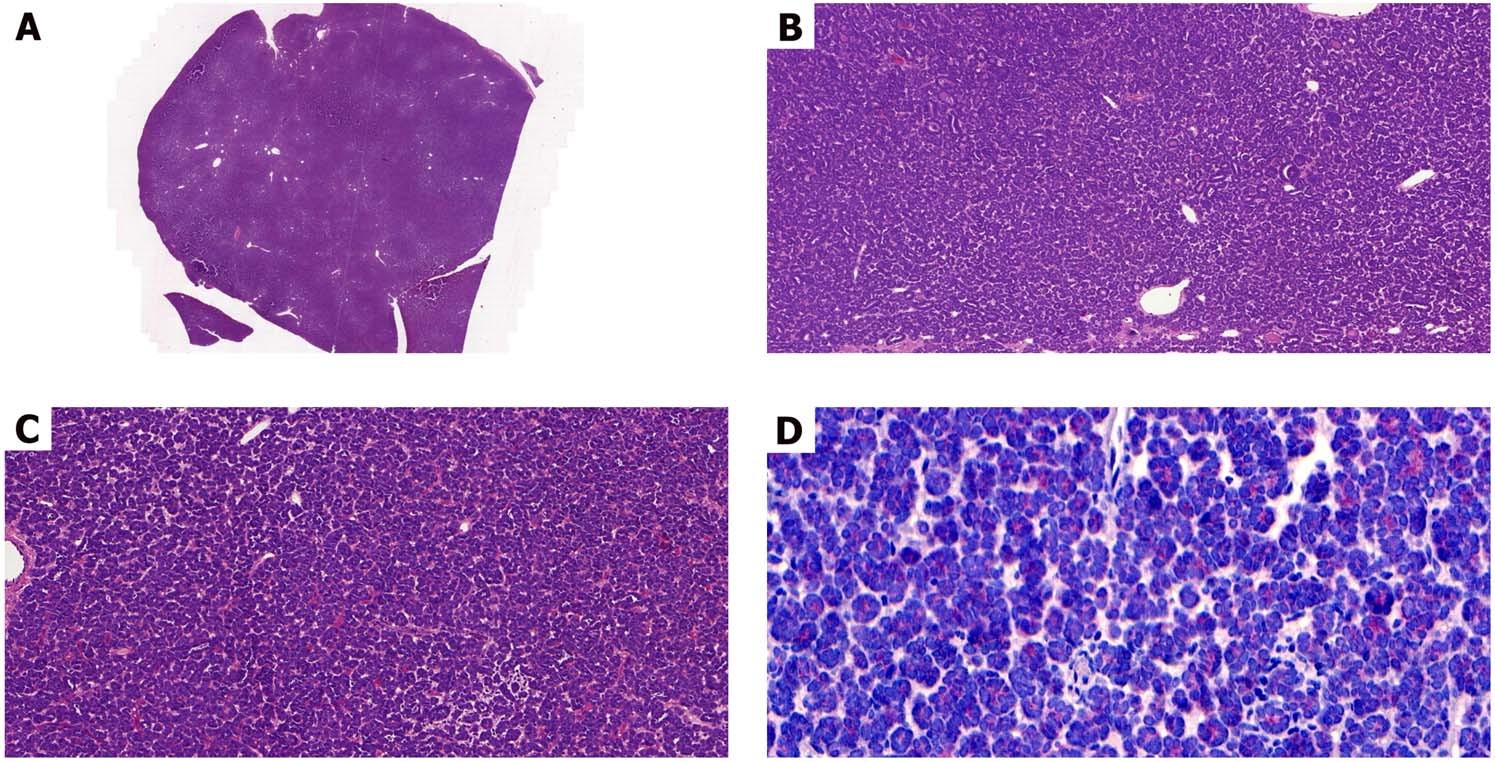
Fig. 5: ALK-RCC demonstrating morphology resembling a metanephric adenoma morphology (case #3).

a The tumor was well-circumscribed, but capsule was not present (×20). b The tumor cells were arranged in small tubules and occasional tubules were elongated (×40). c The cells showed scant cytoplasm and basophilic nuclei (×100). d ALK immunostaining was diffusely positive in the neoplastic cells (×200).