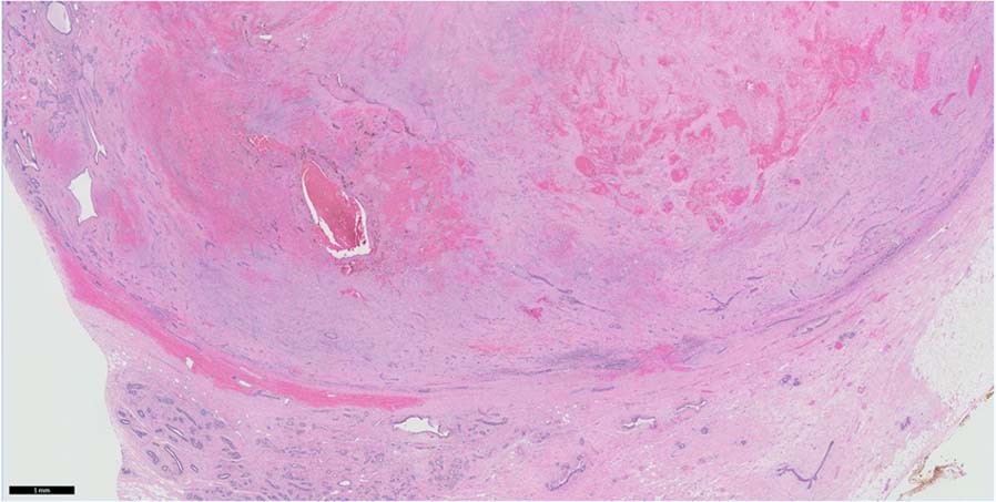
Fig. 2: Infarction in a fibroadenoma shows haemorrhage and loss of cellular detail.
From: Fibroepithelial lesions revisited: implications for diagnosis and management

The circumscribed boundary of the fibroadenoma with adjacent breast tissue is seen in the lower half of the field.