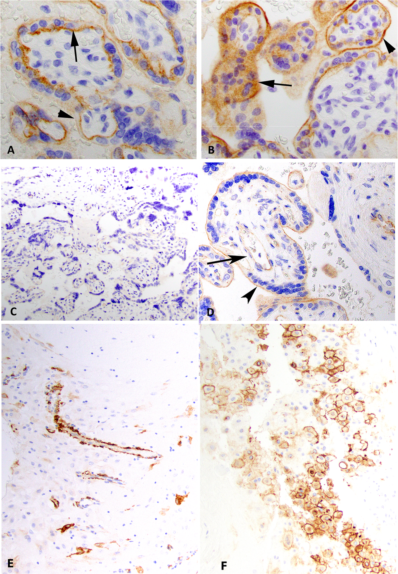
Fig. 2: ACE2 and TMPRSS2 expression.

Immunohistochemical stains for ACE2 at 60X showing case MGH3 (a, negative control) and case MGH9 (b) show membranous expression of ACE2 in syncytiotrophoblast and cytotrophoblast. Note the polarity of staining in a such that the strongest staining is on the villous stromal side of the syncytiotrophoblast (arrow) compared to the maternal lake side (arrowhead). This polarity is not present in case MGH9 as stain is present on the maternal lake side (arrowhead) and villous stromal side (arrow) in b. A syncytiotrophoblastic knot shows cytoplasmic staining in case MGH9 (arrow in b). This finding was focally present in all cases. Immunohistochemical stains for TMPRSS2 at 20X (case MGH3, c) and 40X (case BIDMC2, d). No stain is present in case MGH3 (c, negative control) but weak cytoplasmic staining is preset in the villous endothelium (arrow) and weak membranous staining in the ST (arrowhead) in case BIDMC2 (d). e ACE2 expression in the decidual parietalis maternal endoderm/pericytes (BWH4), 20X. f ACE2 expression in the EVT in the decidua basalis (BIDMC3), 20X.