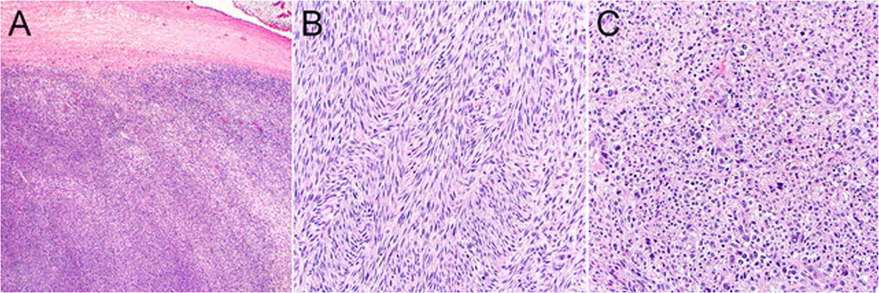
Fig. 3: In a single tumor (Case 10), two grossly distinct mural nodules show sarcomatous and anaplastic carcinomatous morphology.

The sarcomatous nodule is well-circumscribed (a, ×40) and shows a herringbone arrangement and brisk mitotic activity (b, ×200). The separate anaplastic carcinomatous nodule shows predominantly epithelioid morphology with marked atypia and brisk mitoses (c, ×200). These two nodules were genetically identical.