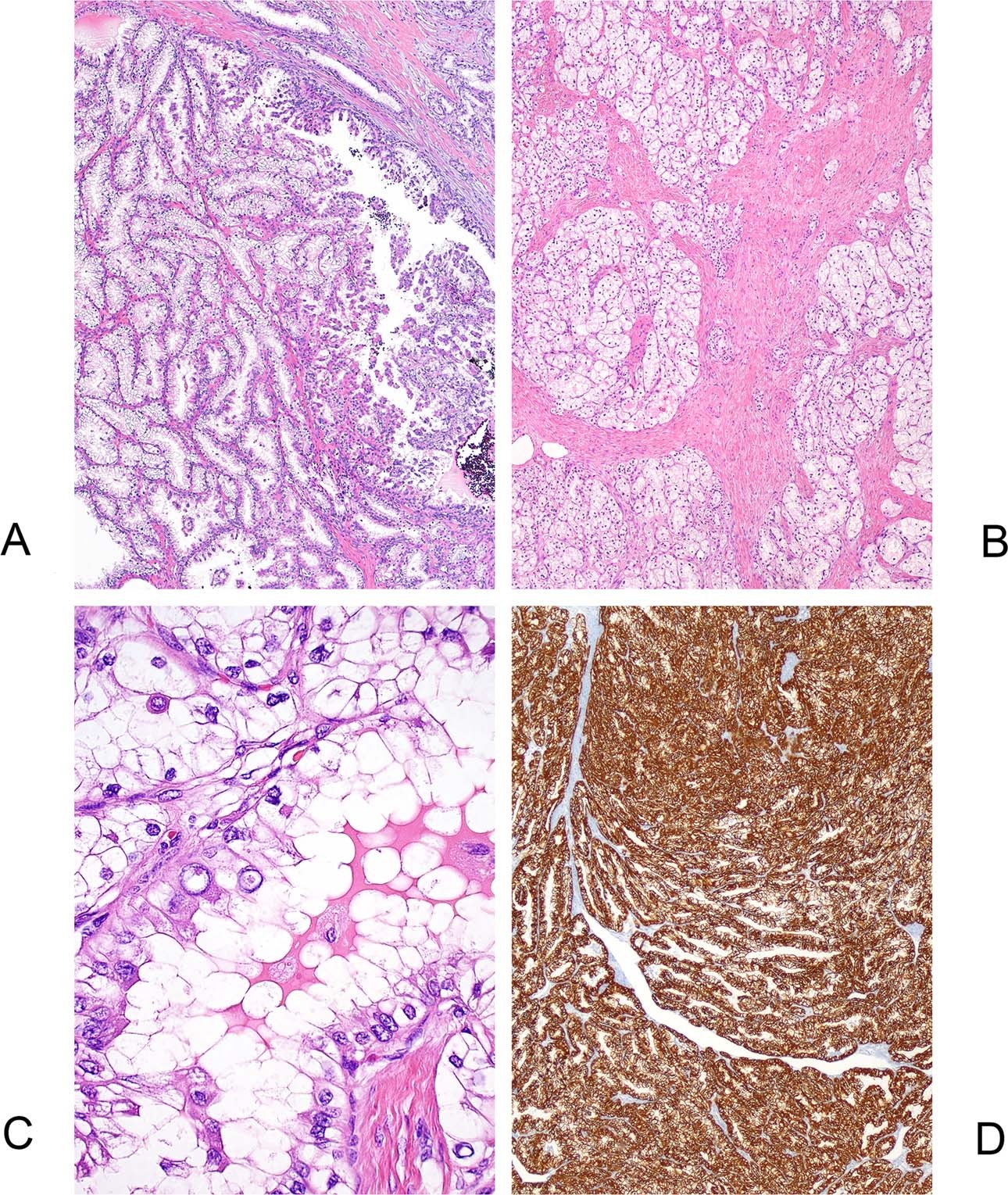
Fig. 2: RCC with fibromyomatous stroma.

This tumor is characterized by nests or papillary formations composed of cells with clear cytoplasm (A), dispersed in a fibromuscular stroma (B). At high magnification, these tumors have abundant apical cytoplasm, usually clear to pale eosinophilic (C). CK7 is typically positive in over half of the tumor cells (D).