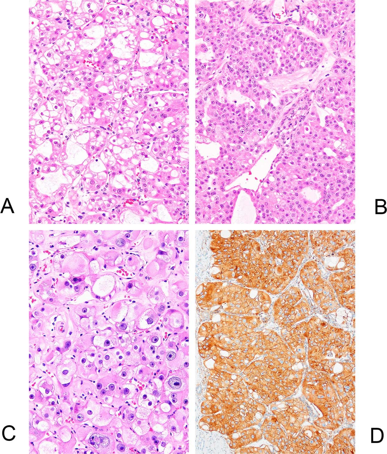
Fig. 3: Eosinophilic vacuolated tumor.

These tumors demonstrate solid growth with frequent and prominent intracytoplasmic vacuoles (A). The cells in some areas are however mostly oncocytic (B). Cells have voluminous cytoplasm, enlarged round to oval nuclei with often very prominent nucleoli (C). Cathepsin K (D) is positive on immunohistochemistry (focal or diffuse) in almost all cases.