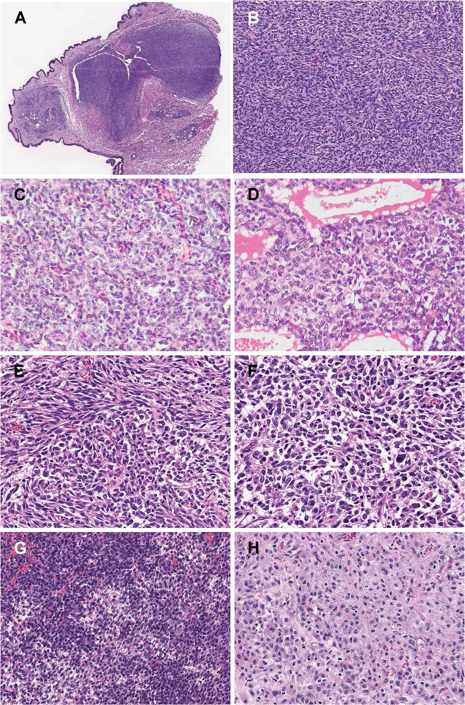
Fig. 2: Histomorphology of the scrotal, para-rectal, and two renal tumors.

The superficial scrotal tumor (case 3) shows mildly infiltrative border (A) and is composed of compact spindle cells in storiform pattern (B), mimicking dermatofibrosarcoma protuberans. The para-rectal tumor (case 4) shows solid sheets of ovoid cells (C) with vesicular chromatin and indistinct cell border, accompanied by microcystic spaces (D). Case 5 shows vague fascicular pattern (E) and areas with increased pleomorphism and hyperchromasia (F). Case 6 displays sheets of ovoid cells with variation in cellularity (G). Epithelioid cells were observed in the second recurrent lesion (H).