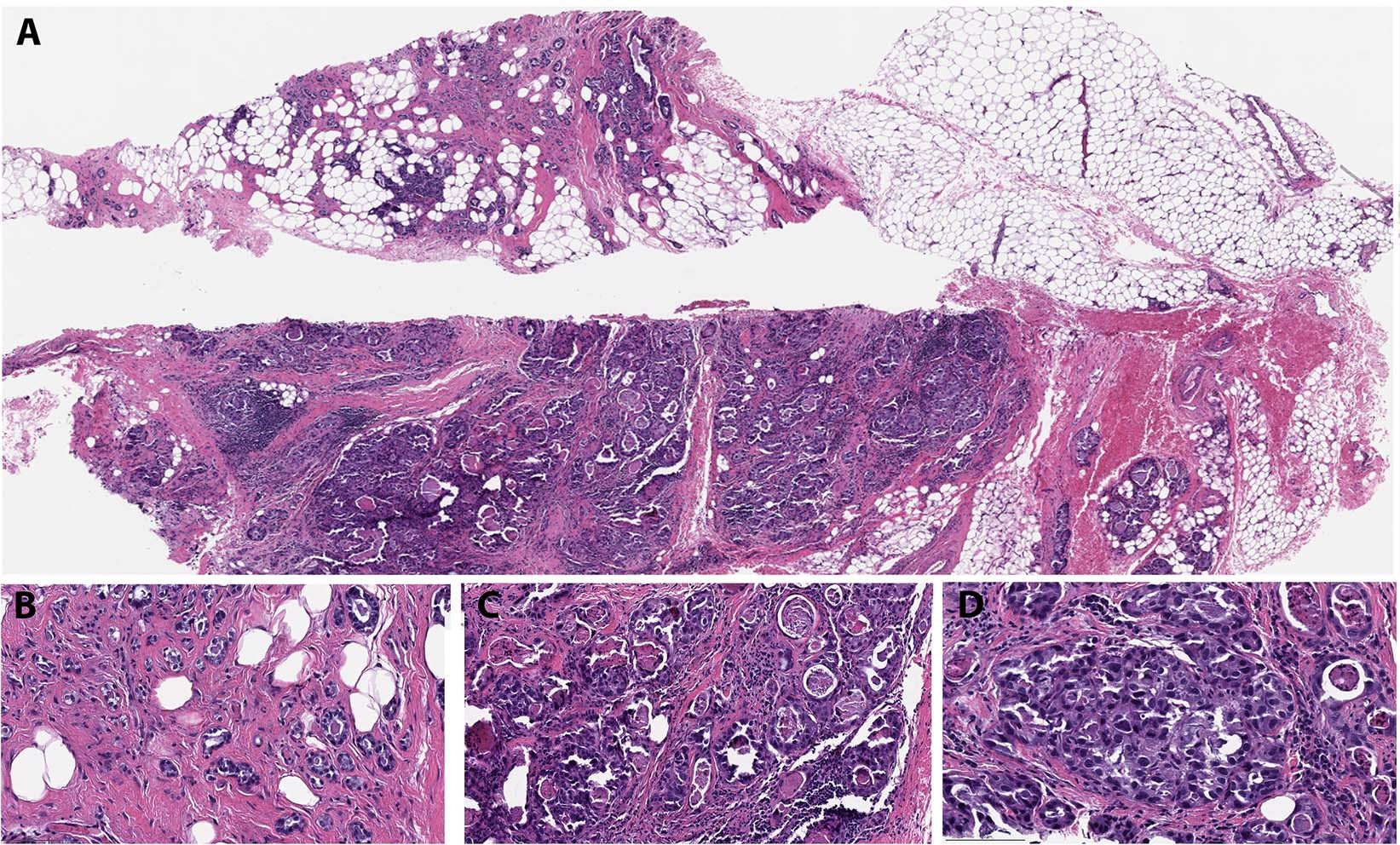
Fig. 1: Examples of microglandular adenosis (MGA) and MGA-related lesions.

A Breast core needle biopsy showing typical MGA in upper core merging with atypical MGA and carcinoma involving MGA in lower core (H&E, 20X); B Typical MGA (H&E, 100X); C Atypical MGA (H&E, 100X); D Carcinoma involving MGA (H&E, 100X).