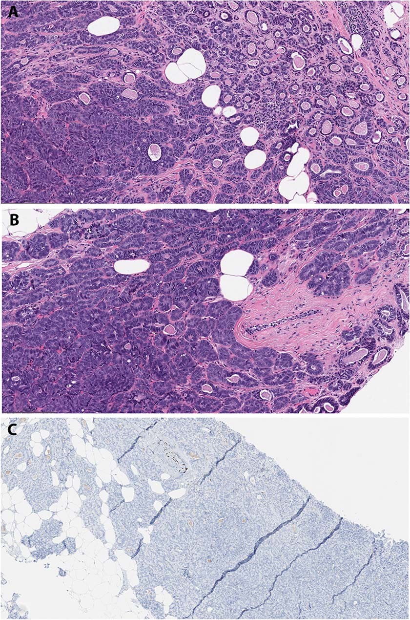
Fig. 2: Breast core needle biopsy with atypical microglandular adenosis having an original submitted diagnosis of triple negative invasive breast cancer.

A H&E, 200X; B H&E, 200X; C p63 immunohistochemical stain, 100X.

A H&E, 200X; B H&E, 200X; C p63 immunohistochemical stain, 100X.