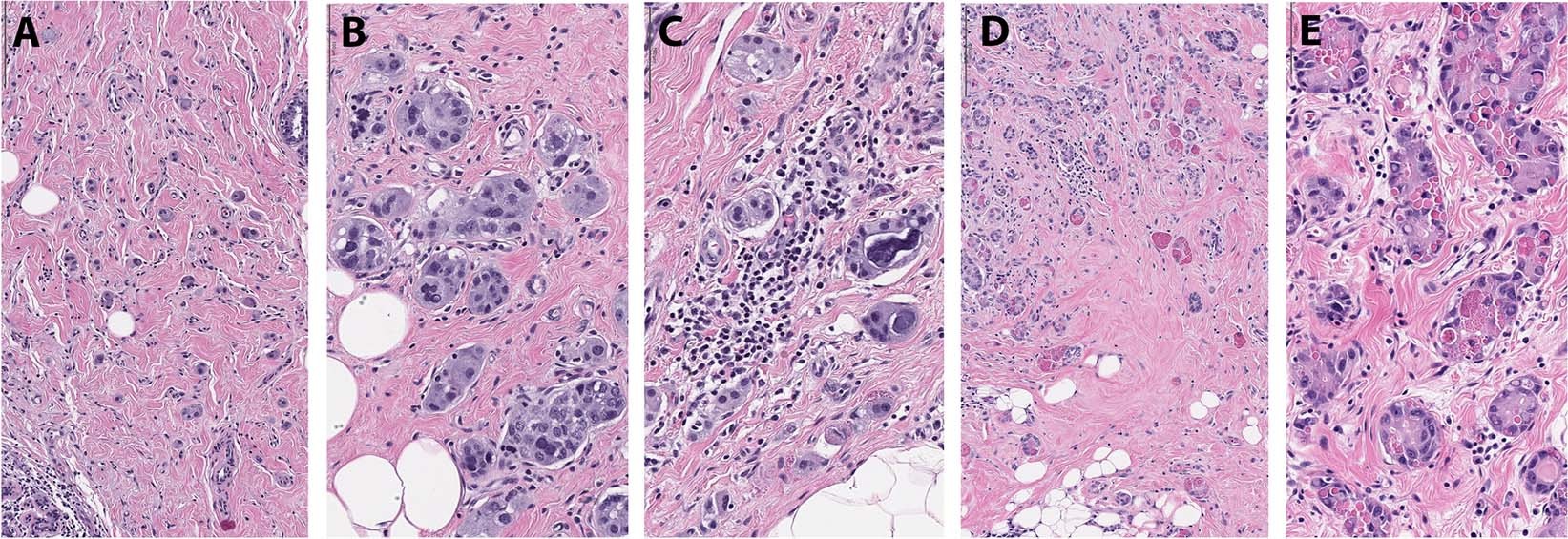
Fig. 5: Morphologic changes in microglandular adenosis-related lesions following neoadjuvant chemotherapy.

A Single cell infiltrative pattern (H&E, 50X); Reduced size of glands, increased nuclear pleomorphism and cytoplasmic vacuolization (B H&E, 200X; C H&E, 200X); Prominent eosinophilic cytoplasmic granules (D H&E, 50X; E H&E, 200X).