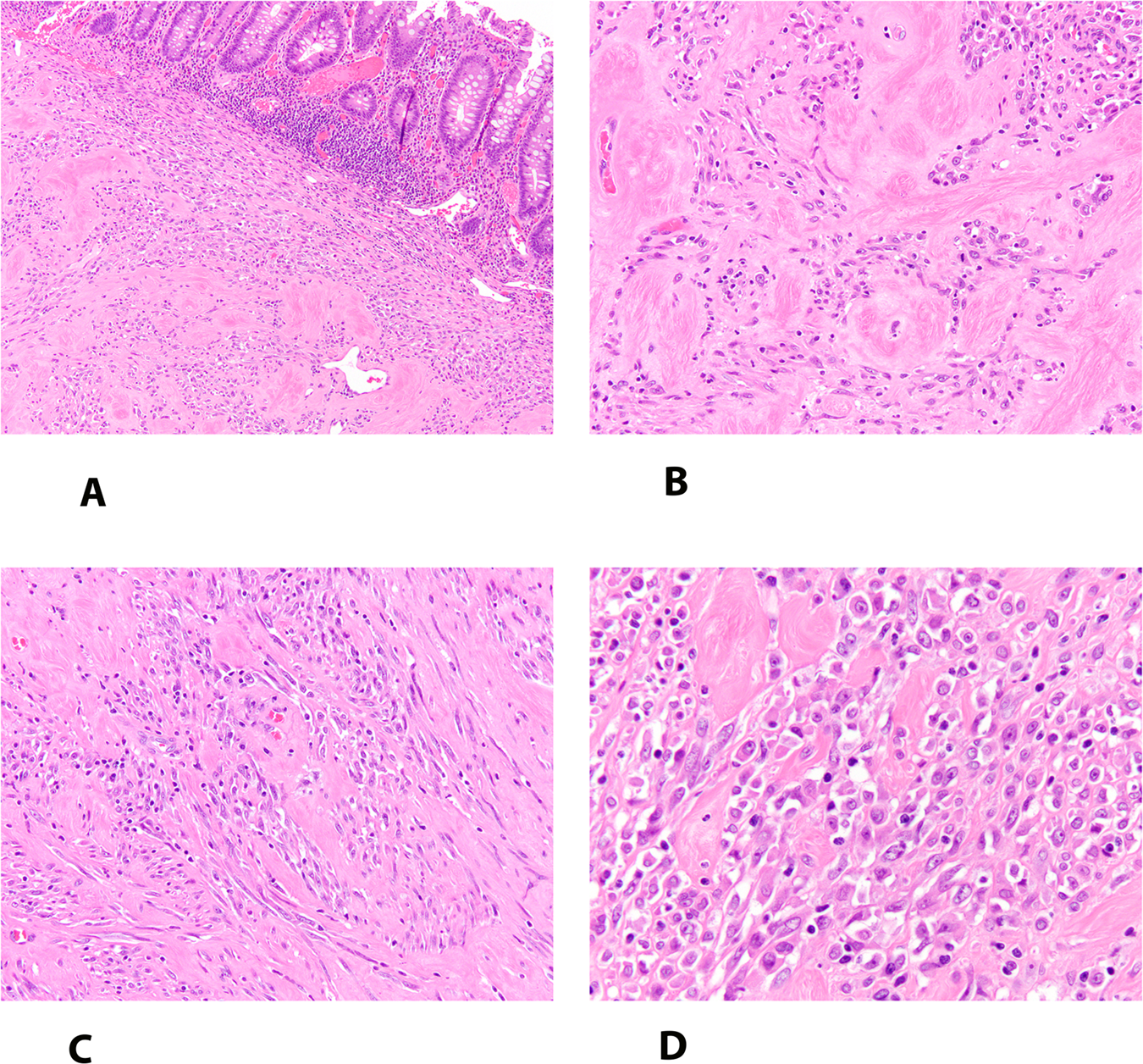
Fig. 3: Colonic NUTM1-rearranged sarcoma.

A Colonic NUTM1-rearrranged sarcoma, displaying predominantly the hyalinized/nested pattern. B “Amianthoid fiber-like” collagen was occasionally present. C In hyalinized areas, the cells could sometimes assume a more epithelioid and rhabdoid appearance, shown at higher power in D.